ADK Antibody (N-term)
Purified Mouse Monoclonal Antibody (Mab)
- 产品详情
- 实验流程
- 背景知识
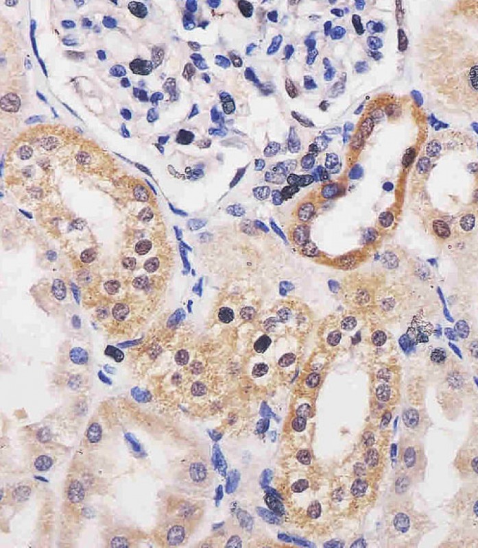
Application
| WB, IHC-P, E |
|---|---|
| Primary Accession | P55263 |
| Reactivity | Human |
| Host | Mouse |
| Clonality | monoclonal |
| Isotype | IgG1,k |
| Clone Names | 1103CT3.4.3 |
| Calculated MW | 40545 Da |
| Gene ID | 132 |
|---|---|
| Other Names | Adenosine kinase, AK, 2.7.1.20, Adenosine 5'-phosphotransferase, ADK |
| Target/Specificity | This ADK antibody is generated from a mouse immunized with a recombinant protein between 1-345 amino acids from human ADK. |
| Dilution | WB~~1:2000 IHC-P~~1:100~500 E~~Use at an assay dependent concentration. |
| Format | Purified monoclonal antibody supplied in PBS with 0.09% (W/V) sodium azide. This antibody is purified through a protein G column, followed by dialysis against PBS. |
| Storage | Maintain refrigerated at 2-8°C for up to 2 weeks. For long term storage store at -20°C in small aliquots to prevent freeze-thaw cycles. |
| Precautions | ADK Antibody (N-term) is for research use only and not for use in diagnostic or therapeutic procedures. |
| Name | ADK {ECO:0000303|PubMed:19635462, ECO:0000312|HGNC:HGNC:257} |
|---|---|
| Function | Adenosine kinase that mediates the phosphorylation of the purine nucleoside adenosine at the 5' position in an ATP-dependent manner: catalyzes phosphorylation of both unmodified and modified adenosines (PubMed:21963049, PubMed:40840445, PubMed:6246102, PubMed:8577746, PubMed:9070863). Plays a key role in the detoxification of modified adenosines containing N(6)-methylated adenine (m6A) post- transcriptional modification (PubMed:40840445). Modified nucleosides are derived from the degradation of RNAs (mRNAs, rRNAs and tRNAs) and possess intrinsic cytotoxicity and must be cleared to prevent metabolic dysfunction (PubMed:40840445). Catalyzes the phosphorylation of the free cytosolic methylated adenosine nucleotides N(6)-methyladenosine (m6A), N(6),N(6)-dimethyladenosine (m6,6A) and N(6)- isopentenyladenosine (i6A) into adenosine monophosphate (AMP) intermediates that are further detoxified by MAPDA/ADAL (PubMed:40840445). |
| Cellular Location | Cytoplasm, cytosol. [Isoform 2]: Cytoplasm |
| Tissue Location | Widely expressed. Highest level in placenta, liver, muscle and kidney. |
For Research Use Only. Not For Use In Diagnostic Procedures.
Provided below are standard protocols that you may find useful for product applications.
BACKGROUND
ATP dependent phosphorylation of adenosine and other related nucleoside analogs to monophosphate derivatives. Serves as a potential regulator of concentrations of extracellular adenosine and intracellular adenine nucleotides.
REFERENCES
Spychala J.,et al.Proc. Natl. Acad. Sci. U.S.A. 93:1232-1237(1996).
Singh B.,et al.Eur. J. Biochem. 241:564-571(1996).
McNally T.,et al.Biochem. Biophys. Res. Commun. 231:645-650(1997).
Ota T.,et al.Nat. Genet. 36:40-45(2004).
Deloukas P.,et al.Nature 429:375-381(2004).
终于等到您。ABCEPTA(百远生物)抗体产品。
点击下方“我要评价 ”按钮提交您的反馈信息,您的反馈和评价是我们最宝贵的财富之一,
我们将在1-3个工作日内处理您的反馈信息。
如有疑问,联系:0512-88856768 tech-china@abcepta.com.
















癌症的基本特征包括细胞增殖、血管生成、迁移、凋亡逃避机制和细胞永生等。找到癌症发生过程中这些通路的关键标记物和对应的抗体用于检测至关重要。
为您推荐一个泛素化位点预测神器——泛素化分析工具,可以为您的蛋白的泛素化位点作出预测和评分。
细胞自噬受体图形绘图工具为你的蛋白的细胞受体结合位点作出预测和评分,识别结合到自噬通路中的蛋白是非常重要的,便于让我们理解自噬在正常生理、病理过程中的作用,如发育、细胞分化、神经退化性疾病、压力条件下、感染和癌症。