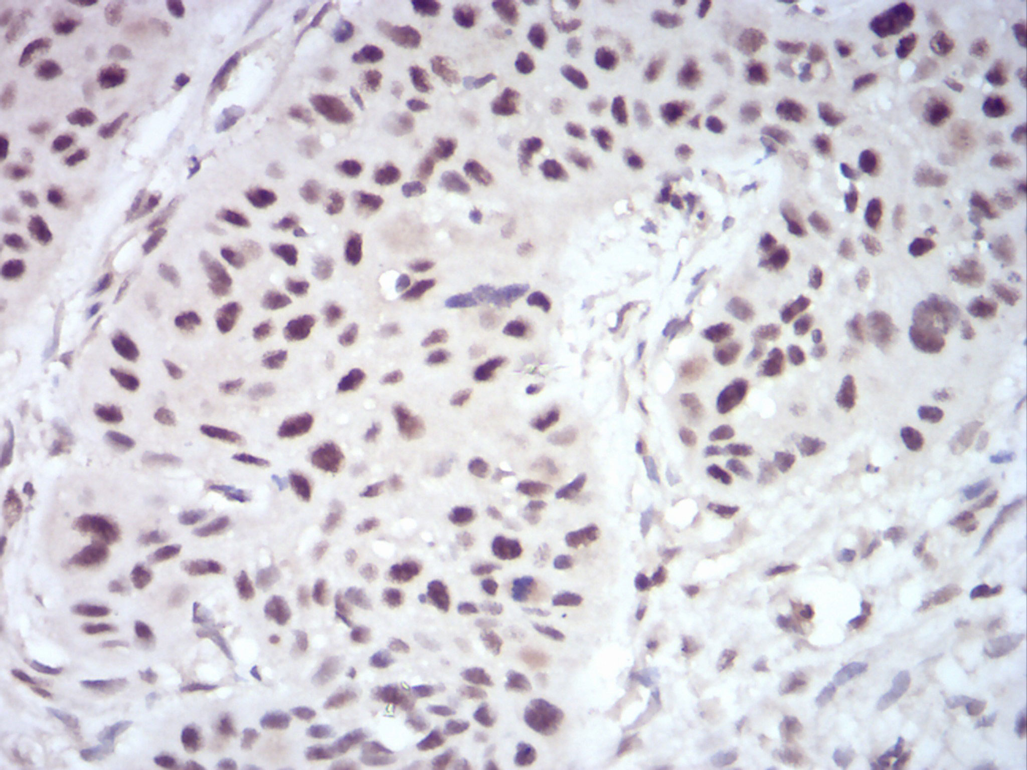
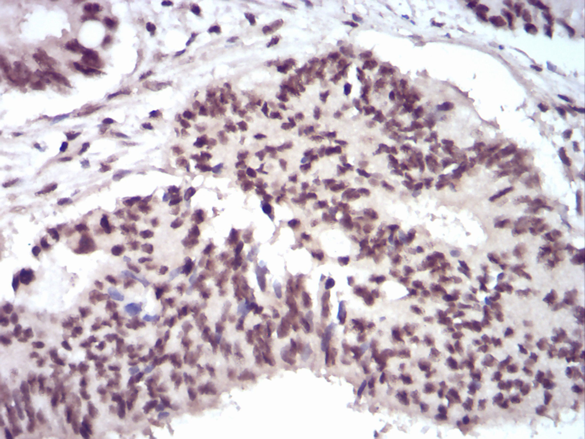
WTAP Antibody
Purified Mouse Monoclonal Antibody
- 产品详情
- 实验流程
Application
| WB, IHC, FC, E |
|---|---|
| Primary Accession | Q15007 |
| Reactivity | Human |
| Host | Mouse |
| Clonality | Monoclonal |
| Clone Names | 6B6B8 |
| Isotype | IgG1 |
| Calculated MW | 44244 Da |
| Description | The Wilms tumor suppressor gene WT1 appears to play a role in both transcriptional and posttranscriptional regulation of certain cellular genes. This gene encodes a WT1-associating protein, which is a ubiquitously expressed nuclear protein. Like WT1 protein, this protein is localized throughout the nucleoplasm as well as in speckles and partially colocalizes with splicing factors. Alternative splicing of this gene results in several transcript variants encoding three different isoforms. |
| Immunogen | Purified recombinant fragment of human WTAP (AA: 91-201) expressed in E. Coli. |
| Formulation | Purified antibody in PBS with 0.05% sodium azide |
| Gene ID | 9589 |
|---|---|
| Other Names | Pre-mRNA-splicing regulator WTAP, Female-lethal(2)D homolog, hFL(2)D, WT1-associated protein, Wilms tumor 1-associating protein, WTAP, KIAA0105 |
| Dilution | WB~~1/500 - 1/2000 IHC~~1/200 - 1/1000 FC~~1/200 - 1/400 E~~1/10000 |
| Storage | Maintain refrigerated at 2-8°C for up to 6 months. For long term storage store at -20°C in small aliquots to prevent freeze-thaw cycles. |
| Precautions | WTAP Antibody is for research use only and not for use in diagnostic or therapeutic procedures. |
| Name | WTAP {ECO:0000303|PubMed:11001926, ECO:0000312|HGNC:HGNC:16846} |
|---|---|
| Function | Associated component of the WMM complex, a complex that mediates N6-methyladenosine (m6A) methylation of RNAs, a modification that plays a role in the efficiency of mRNA splicing and RNA processing (PubMed:29507755). Required for accumulation of METTL3 and METTL14 to nuclear speckle (PubMed:24316715, PubMed:24407421, PubMed:24981863). Acts as a mRNA splicing regulator (PubMed:12444081). Regulates G2/M cell-cycle transition by binding to the 3' UTR of CCNA2, which enhances its stability (PubMed:17088532). Impairs WT1 DNA-binding ability and inhibits expression of WT1 target genes (PubMed:17095724). |
| Cellular Location | Nucleus speckle. Nucleus, nucleoplasm. Cytoplasm {ECO:0000250|UniProtKB:Q9ER69}. Note=Mainly nuclear with some fraction located in the cytoplasm. ZC3H13 is required to anchor component of the MACOM subcomplex, such as VIRMA, in the nucleus {ECO:0000250|UniProtKB:Q9ER69} |
| Tissue Location | Ubiquitously expressed. |
Research Areas
For Research Use Only. Not For Use In Diagnostic Procedures.
Application Protocols
Provided below are standard protocols that you may find useful for product applications.
REFERENCES
J Gastroenterol. 2013 Nov;48(11):1271-82.Cancer Sci. 2012 Dec;103(12):2102-9.
终于等到您。ABCEPTA(百远生物)抗体产品。
点击下方“我要评价 ”按钮提交您的反馈信息,您的反馈和评价是我们最宝贵的财富之一,
我们将在1-3个工作日内处理您的反馈信息。
如有疑问,联系:0512-88856768 tech-china@abcepta.com.
¥ 1,500.00
Cat# AO2021a
















癌症的基本特征包括细胞增殖、血管生成、迁移、凋亡逃避机制和细胞永生等。找到癌症发生过程中这些通路的关键标记物和对应的抗体用于检测至关重要。
为您推荐一个泛素化位点预测神器——泛素化分析工具,可以为您的蛋白的泛素化位点作出预测和评分。
细胞自噬受体图形绘图工具为你的蛋白的细胞受体结合位点作出预测和评分,识别结合到自噬通路中的蛋白是非常重要的,便于让我们理解自噬在正常生理、病理过程中的作用,如发育、细胞分化、神经退化性疾病、压力条件下、感染和癌症。