SGSH Rabbit pAb
SGSH Rabbit pAb
- 产品详情
- 实验流程
- 背景知识
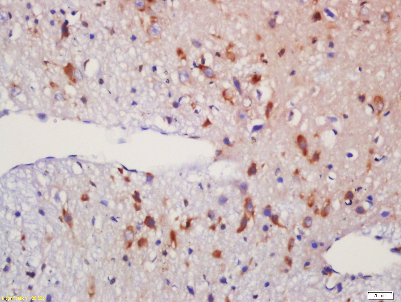
Application
| WB, IHC-P, IHC-F, IF |
|---|---|
| Primary Accession | P51688 |
| Reactivity | Human, Mouse |
| Host | Rabbit |
| Clonality | Polyclonal |
| Calculated MW | 56695 Da |
| Physical State | Liquid |
| Immunogen | KLH conjugated synthetic peptide derived from human Sulphamidase |
| Epitope Specificity | 301-388/502 |
| Isotype | IgG |
| Purity | affinity purified by Protein A |
| Buffer | 0.01M TBS (pH7.4) with 1% BSA, 0.02% Proclin300 and 50% Glycerol. |
| SUBCELLULAR LOCATION | Lysosome. |
| SIMILARITY | Belongs to the sulfatase family. |
| Post-translational modifications | The conversion to 3-oxoalanine (also known as C-formylglycine, FGly), of a serine or cysteine residue in prokaryotes and of a cysteine residue in eukaryotes, is critical for catalytic activity. |
| DISEASE | Defects in SGSH are the cause of mucopolysaccharidosis type 3A (MPS3A) [MIM:252900]; also known as Sanfilippo syndrome A. MPS3A is a severe form of mucopolysaccharidosis type 3, an autosomal recessive lysosomal storage disease due to impaired degradation of heparan sulfate. MPS3 is characterized by severe central nervous system degeneration, but only mild somatic disease. Onset of clinical features usually occurs between 2 and 6 years; severe neurologic degeneration occurs in most patients between 6 and 10 years of age, and death occurs typically during the second or third decade of life. MPS3A is characterized by earlier onset, rapid progression of symptoms and shorter survival. |
| Important Note | This product as supplied is intended for research use only, not for use in human, therapeutic or diagnostic applications. |
| Background Descriptions | Sulfatases are enzymes that hydrolyse a diverse range of sulfate esters. Deficiency of lysosomal sulfatases leads to human diseases characterized by the accumulation of either GAGs (glycosaminoglycans) or sulfolipids. Sulfamidase, also known as HSS, SFMD, MPS3A or SGSH, is a 502 amino acid lysosome that belongs to the sulfatase family. It has been suggested that sulfamidase may be involved in the lysosomal degradation of heparan sulfate. Defects in the gene encoding sulfamidase are the cause of Sanfilippo syndrome A, an autosomal recessive lysosomal storage disease caused by impaired degradation of heparan sulfate. Sanfilippo syndrome A is characterized by severe central nervous system degeneration but relatively mild somatic manifestations. |
| Gene ID | 6448 |
|---|---|
| Other Names | N-sulphoglucosamine sulphohydrolase, 3.10.1.1, Sulfoglucosamine sulfamidase, Sulphamidase, SGSH, HSS |
| Dilution | WB=1:500-2000,IHC-P=1:100-500,IHC-F=1:100-500,IF=1:100-500 |
| Storage | Store at -20 °C for one year. Avoid repeated freeze/thaw cycles. When reconstituted in sterile pH 7.4 0.01M PBS or diluent of antibody the antibody is stable for at least two weeks at 2-4 °C. |
| Name | SGSH |
|---|---|
| Synonyms | HSS |
| Function | Catalyzes a step in lysosomal heparan sulfate degradation. |
| Cellular Location | Lysosome. |
For Research Use Only. Not For Use In Diagnostic Procedures.
Provided below are standard protocols that you may find useful for product applications.
BACKGROUND
Sulfatases are enzymes that hydrolyse a diverse range of sulfate esters. Deficiency of lysosomal sulfatases leads to human diseases characterized by the accumulation of either GAGs (glycosaminoglycans) or sulfolipids. Sulfamidase, also known as HSS, SFMD, MPS3A or SGSH, is a 502 amino acid lysosome that belongs to the sulfatase family. It has been suggested that sulfamidase may be involved in the lysosomal degradation of heparan sulfate. Defects in the gene encoding sulfamidase are the cause of Sanfilippo syndrome A, an autosomal recessive lysosomal storage disease caused by impaired degradation of heparan sulfate. Sanfilippo syndrome A is characterized by severe central nervous system degeneration but relatively mild somatic manifestations.
REFERENCES
Scott H.S.,et al.Nat. Genet. 11:465-467(1995).
Karageorgos L.E.,et al.Submitted (NOV-1996) to the EMBL/GenBank/DDBJ databases.
Ota T.,et al.Nat. Genet. 36:40-45(2004).
Zhang H.,et al.Nat. Biotechnol. 21:660-666(2003).
Chen R.,et al.J. Proteome Res. 8:651-661(2009).
终于等到您。ABCEPTA(百远生物)抗体产品。
点击下方“我要评价 ”按钮提交您的反馈信息,您的反馈和评价是我们最宝贵的财富之一,
我们将在1-3个工作日内处理您的反馈信息。
如有疑问,联系:0512-88856768 tech-china@abcepta.com.
















癌症的基本特征包括细胞增殖、血管生成、迁移、凋亡逃避机制和细胞永生等。找到癌症发生过程中这些通路的关键标记物和对应的抗体用于检测至关重要。
为您推荐一个泛素化位点预测神器——泛素化分析工具,可以为您的蛋白的泛素化位点作出预测和评分。
细胞自噬受体图形绘图工具为你的蛋白的细胞受体结合位点作出预测和评分,识别结合到自噬通路中的蛋白是非常重要的,便于让我们理解自噬在正常生理、病理过程中的作用,如发育、细胞分化、神经退化性疾病、压力条件下、感染和癌症。