FAR2 Polyclonal Antibody
Purified Rabbit Polyclonal Antibody (Pab)
- 产品详情
- 实验流程
Application ![]()
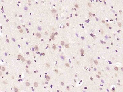
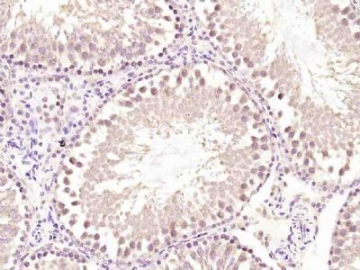
| WB, IHC-P, IHC-F, IF, ICC, E |
---|---|
Primary Accession | Q96K12 |
Reactivity | Rat, Pig, Dog, Bovine |
Host | Rabbit |
Clonality | Polyclonal |
Calculated MW | 59438 Da |
Physical State | Liquid |
Immunogen | KLH conjugated synthetic peptide derived from human FAR2 |
Epitope Specificity | 51-150/515 |
Isotype | IgG |
Purity | affinity purified by Protein A |
Buffer | 0.01M TBS (pH7.4) with 1% BSA, 0.02% Proclin300 and 50% Glycerol. |
SUBCELLULAR LOCATION | Peroxisome membrane; Multi-pass membrane protein (Potential). Endoplasmic reticulum membrane; Multi-pass membrane protein (Potential). Note=Peroxisome in cells expressing low levels of the protein. Peroxisome and endoplasmic reticulum in cells expressing high levels of the protein. |
SIMILARITY | Belongs to the fatty acyl-CoA reductase family. |
Important Note | This product as supplied is intended for research use only, not for use in human, therapeutic or diagnostic applications. |
Background Descriptions | This gene belongs to the short chain dehydrogenase/reductase superfamily. It encodes a reductase enzyme involved in the first step of wax biosynthesis wherein fatty acids are converted to fatty alcohols. The encoded peroxisomal protein utilizes saturated fatty acids of 16 or 18 carbons as preferred substrates. Alternatively spliced transcript variants have been observed for this gene. Related pseudogenes have been identified on chromosomes 2, 14 and 22. [provided by RefSeq, Nov 2012] |
Gene ID | 55711 |
---|---|
Other Names | Fatty acyl-CoA reductase 2, 1.2.1.84, Male sterility domain-containing protein 1 {ECO:0000312|HGNC:HGNC:25531}, FAR2 (HGNC:25531) |
Dilution | WB=1:500-2000,IHC-P=1:100-500,IHC-F=1:100-500,ICC=1:100-500,IF=1:100-500,ELISA=1:5000-10000 |
Format | 0.01M TBS(pH7.4) with 1% BSA, 0.09% (W/V) sodium azide and 50% Glyce |
Storage | Store at -20 °C for one year. Avoid repeated freeze/thaw cycles. When reconstituted in sterile pH 7.4 0.01M PBS or diluent of antibody the antibody is stable for at least two weeks at 2-4 °C. |
Name | FAR2 (HGNC:25531) |
---|---|
Function | Catalyzes the reduction of saturated but not unsaturated C16 or C18 fatty acyl-CoA to fatty alcohols (FAls) (PubMed:15220348). A lower activity can be observed with shorter fatty acyl-CoA substrates (PubMed:15220348). Can produce very long-chain and ultra long-chain FAls, regardless of whether they have a straight or branched chain (PubMed:35238077). Involved in the production of ether lipids/plasmalogens and wax monoesters whose synthesis requires FAls as substrates (PubMed:24108123, PubMed:35238077). |
Cellular Location | Peroxisome membrane; Single-pass membrane protein |
Research Areas
For Research Use Only. Not For Use In Diagnostic Procedures.
Application Protocols
Provided below are standard protocols that you may find useful for product applications.

终于等到您。ABCEPTA(百远生物)抗体产品。
点击下方“我要评价 ”按钮提交您的反馈信息,您的反馈和评价是我们最宝贵的财富之一,
我们将在1-3个工作日内处理您的反馈信息。
如有疑问,联系:0512-88856768 tech-china@abcepta.com.
¥ 1,500.00
Cat# AP54241