NECAB1 Rabbit pAb
NECAB1 Rabbit pAb
- 产品详情
- 实验流程
- 背景知识
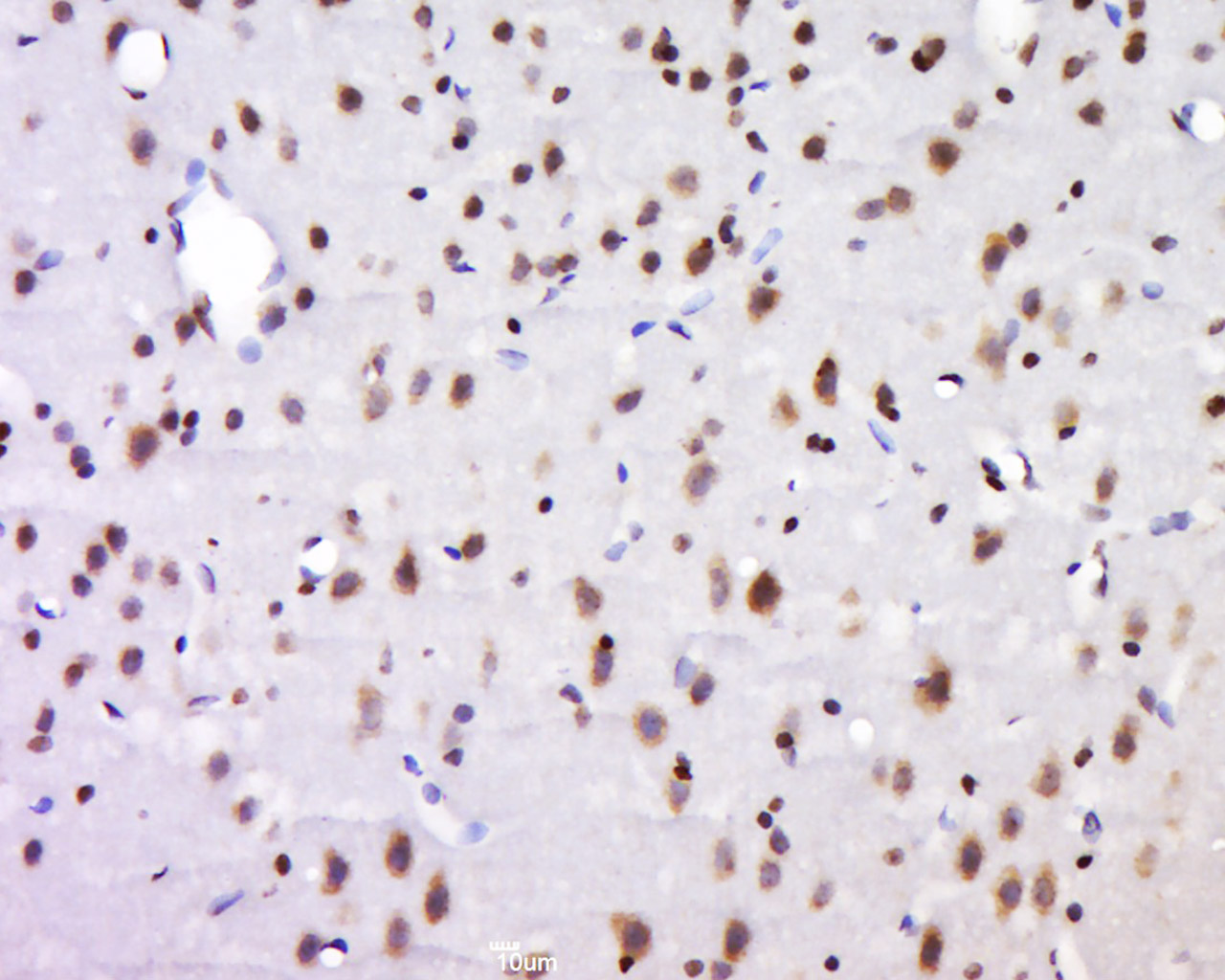
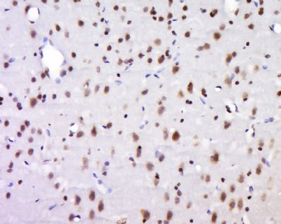
Application
| IHC-P, IHC-F, IF |
|---|---|
| Primary Accession | Q8N987 |
| Reactivity | Pig, Mouse, Dog, Horse |
| Host | Rabbit |
| Clonality | Polyclonal |
| Calculated MW | 40571 Da |
| Physical State | Liquid |
| Immunogen | KLH conjugated synthetic peptide derived from human NECAB1/EF-CBP1 |
| Epitope Specificity | 51-150/351 |
| Isotype | IgG |
| Purity | affinity purified by Protein A |
| Buffer | 0.01M TBS (pH7.4) with 1% BSA, 0.02% Proclin300 and 50% Glycerol. |
| SUBCELLULAR LOCATION | Cytoplasm. |
| SIMILARITY | Contains 1 ABM domain. Contains 2 EF-hand domains. |
| Important Note | This product as supplied is intended for research use only, not for use in human, therapeutic or diagnostic applications. |
| Background Descriptions | Members of the EF-CBP (N-terminal EF-hand calcium binding protein)/NECAB (neuronal calcium-binding protein) family participate in neuronal calcium signaling. EF-CBP1 (N-terminal EF-hand calcium binding protein 1), also known as STIP-1 or neuronal calcium-binding protein 1 (NECAB1), is a 351 amino acid cytoplasmic protein that contains one antibiotic biosynthesis monooxygenase (ABM) domain and two EF-hand domains. Expressed in brain, EF-CBP1 interacts with copine 6 and Syntaxin, and exists as two alternatively spliced isoforms. The gene encoding EF-CBP1 maps to human chromosome 8, which consists of nearly 146 million base pairs, encodes over 800 genes and is associated with a variety of diseases and malignancies. Schizophrenia, bipolar disorder, Trisomy 8, Pfeiffer syndrome, congenital hypothyroidism, Waardenburg syndrome and some leukemias and lymphomas are thought to occur as a result of defects in specific genes that map to chromosome 8. |
| Gene ID | 64168 |
|---|---|
| Other Names | N-terminal EF-hand calcium-binding protein 1, EF-hand calcium-binding protein 1, Neuronal calcium-binding protein 1, NECAB1, EFCBP1 |
| Target/Specificity | Expressed in brain |
| Dilution | IHC-P=1:100-500,IHC-F=1:100-500,IF=1:100-500 |
| Storage | Store at -20 °C for one year. Avoid repeated freeze/thaw cycles. When reconstituted in sterile pH 7.4 0.01M PBS or diluent of antibody the antibody is stable for at least two weeks at 2-4 °C. |
| Name | NECAB1 |
|---|---|
| Synonyms | EFCBP1 |
| Cellular Location | Cytoplasm. |
| Tissue Location | Expressed in brain (at protein level). |
For Research Use Only. Not For Use In Diagnostic Procedures.
Provided below are standard protocols that you may find useful for product applications.
BACKGROUND
Members of the EF-CBP (N-terminal EF-hand calcium binding protein)/NECAB (neuronal calcium-binding protein) family participate in neuronal calcium signaling. EF-CBP1 (N-terminal EF-hand calcium binding protein 1), also known as STIP-1 or neuronal calcium-binding protein 1 (NECAB1), is a 351 amino acid cytoplasmic protein that contains one antibiotic biosynthesis monooxygenase (ABM) domain and two EF-hand domains. Expressed in brain, EF-CBP1 interacts with copine 6 and Syntaxin, and exists as two alternatively spliced isoforms. The gene encoding EF-CBP1 maps to human chromosome 8, which consists of nearly 146 million base pairs, encodes over 800 genes and is associated with a variety of diseases and malignancies. Schizophrenia, bipolar disorder, Trisomy 8, Pfeiffer syndrome, congenital hypothyroidism, Waardenburg syndrome and some leukemias and lymphomas are thought to occur as a result of defects in specific genes that map to chromosome 8.
终于等到您。ABCEPTA(百远生物)抗体产品。
点击下方“我要评价 ”按钮提交您的反馈信息,您的反馈和评价是我们最宝贵的财富之一,
我们将在1-3个工作日内处理您的反馈信息。
如有疑问,联系:0512-88856768 tech-china@abcepta.com.
















癌症的基本特征包括细胞增殖、血管生成、迁移、凋亡逃避机制和细胞永生等。找到癌症发生过程中这些通路的关键标记物和对应的抗体用于检测至关重要。
为您推荐一个泛素化位点预测神器——泛素化分析工具,可以为您的蛋白的泛素化位点作出预测和评分。
细胞自噬受体图形绘图工具为你的蛋白的细胞受体结合位点作出预测和评分,识别结合到自噬通路中的蛋白是非常重要的,便于让我们理解自噬在正常生理、病理过程中的作用,如发育、细胞分化、神经退化性疾病、压力条件下、感染和癌症。