C3orf58 Rabbit pAb
C3orf58 Rabbit pAb
- 产品详情
- 实验流程
- 背景知识
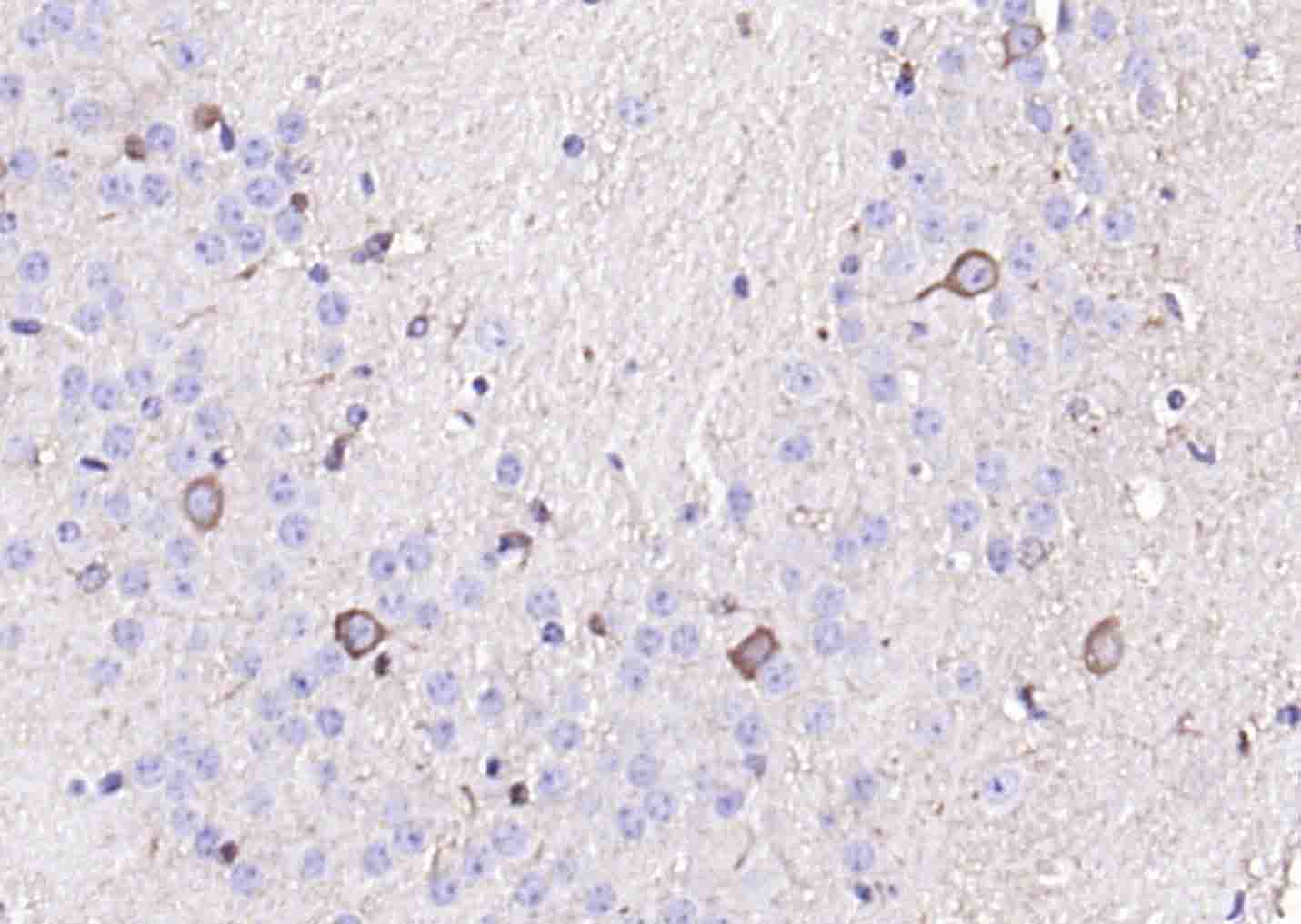
Application
| WB, IHC-P, IHC-F, IF |
|---|---|
| Primary Accession | Q8NDZ4 |
| Reactivity | Human, Mouse |
| Host | Rabbit |
| Clonality | Polyclonal |
| Calculated MW | 49482 Da |
| Physical State | Liquid |
| Immunogen | KLH conjugated synthetic peptide derived from human C3orf58 |
| Epitope Specificity | 351-430/430 |
| Isotype | IgG |
| Purity | affinity purified by Protein A |
| Buffer | 0.01M TBS (pH7.4) with 1% BSA, 0.02% Proclin300 and 50% Glycerol. |
| Important Note | This product as supplied is intended for research use only, not for use in human, therapeutic or diagnostic applications. |
| Background Descriptions | C3orf58 (chromosome 3 open reading frame 58), also known as DIA1, is a 430 amino acid secreted protein that belongs to the UPF0672 family. C3orf58 is encoded by a gene that maps to human chromosome 3q24. Chromosome 3 is made up of approximately 214 million bases encoding over 1,100 genes. Notably, there is a chemokine receptor gene cluster and a variety of human cancer related loci on chromosome 3. Particular regions of the chromosome 3 short arm are deleted in many types of cancer cells. Key tumor suppressing genes on chromosome 3 encode apoptosis mediator RASSF1, cell migration regulator HYAL1 and angiogenesis suppressor SEMA3B. Marfan Syndrome, porphyria, von Hippel-Lindau syndrome, osteogenesis imperfecta and Charcot-Marie-Tooth disease are a few of the numerous genetic diseases associated with chromosome 3. |
| Gene ID | 205428 |
|---|---|
| Other Names | Divergent protein kinase domain 2A, Deleted in autism protein 1, Golgi Protein of 49 kDa, GoPro49, Hypoxia and AKT-induced stem cell factor, HASF, DIPK2A (HGNC:28490) |
| Dilution | WB=1:500-2000,IHC-P=1:100-500,IHC-F=1:100-500,IF=1:100-500 |
| Storage | Store at -20 °C for one year. Avoid repeated freeze/thaw cycles. When reconstituted in sterile pH 7.4 0.01M PBS or diluent of antibody the antibody is stable for at least two weeks at 2-4 °C. |
| Name | DIPK2A (HGNC:28490) |
|---|---|
| Function | May play a role in cardiomyocyte proliferation through paracrine signaling and activation of the PPI3K-AKT-CDK7 signaling cascade. |
| Cellular Location | Cytoplasmic vesicle, COPI-coated vesicle. Golgi apparatus. Secreted |
For Research Use Only. Not For Use In Diagnostic Procedures.
Provided below are standard protocols that you may find useful for product applications.
BACKGROUND
C3orf58 (chromosome 3 open reading frame 58), also known as DIA1, is a 430 amino acid secreted protein that belongs to the UPF0672 family. C3orf58 is encoded by a gene that maps to human chromosome 3q24. Chromosome 3 is made up of approximately 214 million bases encoding over 1,100 genes. Notably, there is a chemokine receptor gene cluster and a variety of human cancer related loci on chromosome 3. Particular regions of the chromosome 3 short arm are deleted in many types of cancer cells. Key tumor suppressing genes on chromosome 3 encode apoptosis mediator RASSF1, cell migration regulator HYAL1 and angiogenesis suppressor SEMA3B. Marfan Syndrome, porphyria, von Hippel-Lindau syndrome, osteogenesis imperfecta and Charcot-Marie-Tooth disease are a few of the numerous genetic diseases associated with chromosome 3.
终于等到您。ABCEPTA(百远生物)抗体产品。
点击下方“我要评价 ”按钮提交您的反馈信息,您的反馈和评价是我们最宝贵的财富之一,
我们将在1-3个工作日内处理您的反馈信息。
如有疑问,联系:0512-88856768 tech-china@abcepta.com.
















癌症的基本特征包括细胞增殖、血管生成、迁移、凋亡逃避机制和细胞永生等。找到癌症发生过程中这些通路的关键标记物和对应的抗体用于检测至关重要。
为您推荐一个泛素化位点预测神器——泛素化分析工具,可以为您的蛋白的泛素化位点作出预测和评分。
细胞自噬受体图形绘图工具为你的蛋白的细胞受体结合位点作出预测和评分,识别结合到自噬通路中的蛋白是非常重要的,便于让我们理解自噬在正常生理、病理过程中的作用,如发育、细胞分化、神经退化性疾病、压力条件下、感染和癌症。