Kindlin Rabbit pAb
Kindlin Rabbit pAb
- 产品详情
- 实验流程
- 背景知识
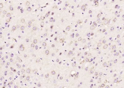
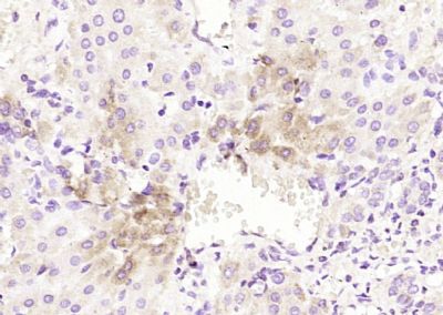
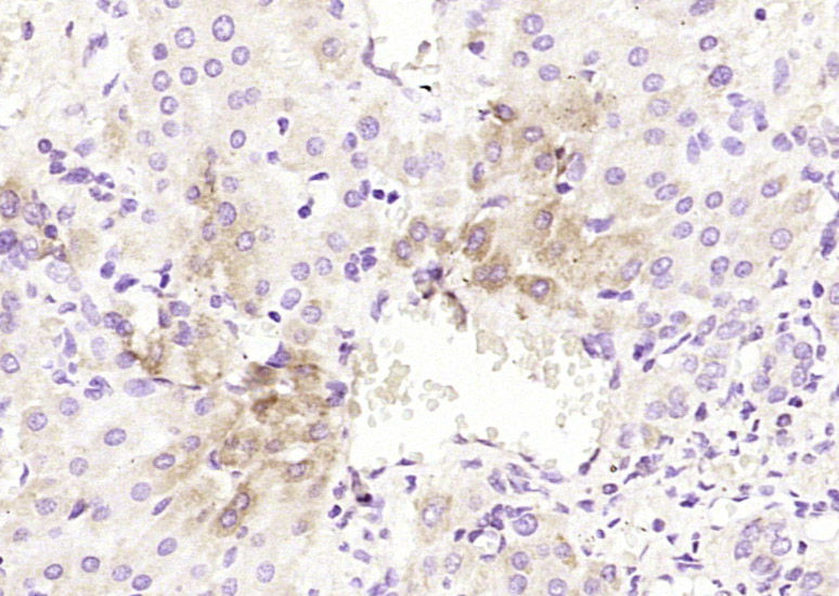
Application
| IHC-P, IHC-F, IF |
|---|---|
| Primary Accession | Q9BQL6 |
| Reactivity | Human, Mouse |
| Predicted | Rat, Dog, Pig, Horse, Rabbit, Sheep |
| Host | Rabbit |
| Clonality | Polyclonal |
| Calculated MW | 77437 Da |
| Physical State | Liquid |
| Immunogen | KLH conjugated synthetic peptide derived from human Kindlin |
| Epitope Specificity | 601-677/677 |
| Isotype | IgG |
| Purity | affinity purified by Protein A |
| Buffer | 0.01M TBS (pH7.4) with 1% BSA, 0.02% Proclin300 and 50% Glycerol. |
| SUBCELLULAR LOCATION | Cytoplasm > cytoskeleton. Cell junction > focal adhesion. Cell projection > ruffle membrane. Constituent of focal adhesions. Localized at the basal aspect of skin keratinocytes, close to the cell membrane. Colocalizes with filamentous actin. Upon TGFB1 treatment, it localizes to membrane ruffles. |
| SIMILARITY | Belongs to the kindlin family. Contains 1 FERM domain. Contains 1 PH domain. |
| DISEASE | Defects in FERMT1 are the cause of Kindler syndrome (KINDS) [MIM:173650]. An autosomal recessive skin disorder characterized by skin blistering, photosensitivity, progressive poikiloderma, and extensive skin atrophy. Additional clinical features include gingival erosions, ocular, esophageal, gastrointestinal and urogenital involvement, and an increased risk of mucocutaneous malignancy. Note=Although most FERMT1 mutations are predicted to lead to premature termination of translation, and to loss of FERMT1 function, significant clinical variability is observed among patients. There is an association of FERMT1 missense and in-frame deletion mutations with milder disease phenotypes, and later onset of complications (PubMed:21936020). |
| Important Note | This product as supplied is intended for research use only, not for use in human, therapeutic or diagnostic applications. |
| Background Descriptions | This gene encodes a member of the fermitin family, and contains a FERM domain and a pleckstrin homology domain. The encoded protein is involved in integrin signaling and linkage of the actin cytoskeleton to the extracellular matrix. Mutations in this gene have been linked to Kindler syndrome. [provided by RefSeq, Dec 2009] |
| Gene ID | 55612 |
|---|---|
| Other Names | Fermitin family homolog 1, Kindlerin, Kindlin syndrome protein, Kindlin-1, Unc-112-related protein 1, FERMT1, C20orf42, KIND1, URP1 |
| Target/Specificity | Expressed in brain, skeletal muscle, kidney, colon, adrenal gland, prostate, and placenta. Weakly or not expressed in heart, thymus, spleen, liver, small intestine, bone marrow, lung and peripheral blood leukocytes. Overexpressed in some colon and lung tumors. In skin, it is localized within the epidermis and particularly in basal keratocytes. Not detected in epidermal melanocytes and dermal fibroblasts. |
| Dilution | IHC-P=1:100-500,IHC-F=1:100-500,IF=1:100-500 |
| Storage | Store at -20 °C for one year. Avoid repeated freeze/thaw cycles. When reconstituted in sterile pH 7.4 0.01M PBS or diluent of antibody the antibody is stable for at least two weeks at 2-4 °C. |
| Name | FERMT1 |
|---|---|
| Synonyms | C20orf42, KIND1, URP1 |
| Function | Involved in cell adhesion. Contributes to integrin activation. When coexpressed with talin, potentiates activation of ITGA2B. Required for normal keratinocyte proliferation. Required for normal polarization of basal keratinocytes in skin, and for normal cell shape. Required for normal adhesion of keratinocytes to fibronectin and laminin, and for normal keratinocyte migration to wound sites. May mediate TGF-beta 1 signaling in tumor progression. |
| Cellular Location | Cytoplasm, cytoskeleton. Cell junction, focal adhesion. Cell projection, ruffle membrane; Peripheral membrane protein; Cytoplasmic side. Note=Constituent of focal adhesions Localized at the basal aspect of skin keratinocytes, close to the cell membrane. Colocalizes with filamentous actin. Upon TGFB1 treatment, it localizes to membrane ruffles |
| Tissue Location | Expressed in brain, skeletal muscle, kidney, colon, adrenal gland, prostate, and placenta. Weakly or not expressed in heart, thymus, spleen, liver, small intestine, bone marrow, lung and peripheral blood leukocytes. Overexpressed in some colon and lung tumors. In skin, it is localized within the epidermis and particularly in basal keratocytes. Not detected in epidermal melanocytes and dermal fibroblasts. |
Research Areas
For Research Use Only. Not For Use In Diagnostic Procedures.
Application Protocols
Provided below are standard protocols that you may find useful for product applications.
BACKGROUND
This gene encodes a member of the fermitin family, and contains a FERM domain and a pleckstrin homology domain. The encoded protein is involved in integrin signaling and linkage of the actin cytoskeleton to the extracellular matrix. Mutations in this gene have been linked to Kindler syndrome. [provided by RefSeq, Dec 2009]
终于等到您。ABCEPTA(百远生物)抗体产品。
点击下方“我要评价 ”按钮提交您的反馈信息,您的反馈和评价是我们最宝贵的财富之一,
我们将在1-3个工作日内处理您的反馈信息。
如有疑问,联系:0512-88856768 tech-china@abcepta.com.
¥ 1,500.00
Cat# AP56543
















癌症的基本特征包括细胞增殖、血管生成、迁移、凋亡逃避机制和细胞永生等。找到癌症发生过程中这些通路的关键标记物和对应的抗体用于检测至关重要。
为您推荐一个泛素化位点预测神器——泛素化分析工具,可以为您的蛋白的泛素化位点作出预测和评分。
细胞自噬受体图形绘图工具为你的蛋白的细胞受体结合位点作出预测和评分,识别结合到自噬通路中的蛋白是非常重要的,便于让我们理解自噬在正常生理、病理过程中的作用,如发育、细胞分化、神经退化性疾病、压力条件下、感染和癌症。