PCBP2 Rabbit pAb
PCBP2 Rabbit pAb
- 产品详情
- 实验流程
- 背景知识
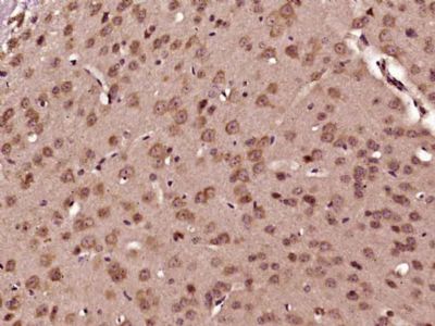
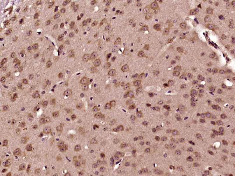
Application
| IHC-P, IHC-F, IF |
|---|---|
| Primary Accession | Q15366 |
| Reactivity | Mouse |
| Predicted | Human, Rat, Pig, Rabbit, Zebrafish, Sheep |
| Host | Rabbit |
| Clonality | Polyclonal |
| Calculated MW | 38580 Da |
| Physical State | Liquid |
| Immunogen | KLH conjugated synthetic peptide derived from human PCBP2 |
| Epitope Specificity | 1-100/365 |
| Isotype | IgG |
| Purity | affinity purified by Protein A |
| Buffer | 0.01M TBS (pH7.4) with 1% BSA, 0.02% Proclin300 and 50% Glycerol. |
| SUBCELLULAR LOCATION | Nucleus. Cytoplasm. Loosely bound in the nucleus. May shuttle between the nucleus and the cytoplasm. |
| SIMILARITY | Contains 3 KH domains. |
| SUBUNIT | Identified in a mRNP complex, at least composed of DHX9,DDX3X, ELAVL1, HNRNPU, IGF2BP1, ILF3, PABPC1, PCBP2, PTBP2, STAU1,STAU2, SYNCRIP and YBX1. Interacts with IFIH1 and RNF135. Interacts with MAVS (via C-terminus) and ITCH (via WW domains). |
| Post-translational modifications | Phosphorylated. The non-phosphorylated form(s) exhibited the strongest poly(rC)-binding activity. |
| Important Note | This product as supplied is intended for research use only, not for use in human, therapeutic or diagnostic applications. |
| Background Descriptions | The protein encoded by this gene appears to be multifunctional. Along with PCBP-1 and hnRNPK, it is one of the major cellular poly(rC)-binding proteins. The encoded protein contains three K-homologous (KH) domains which may be involved in RNA binding. Together with PCBP-1, this protein also functions as a translational coactivator of poliovirus RNA via a sequence-specific interaction with stem-loop IV of the IRES, promoting poliovirus RNA replication by binding to its 5'-terminal cloverleaf structure. It has also been implicated in translational control of the 15-lipoxygenase mRNA, human papillomavirus type 16 L2 mRNA, and hepatitis A virus RNA. The encoded protein is also suggested to play a part in formation of a sequence-specific alpha-globin mRNP complex which is associated with alpha-globin mRNA stability. This multiexon structural mRNA is thought to be retrotransposed to generate PCBP-1, an intronless gene with functions similar to that of PCBP2. This gene and PCBP-1 have paralogous genes (PCBP3 and PCBP4) which are thought to have arisen as a result of duplication events of entire genes. Thsi gene also has two processed pseudogenes (PCBP2P1 and PCBP2P2). Multiple transcript variants encoding different isoforms have been found for this gene. [provided by RefSeq, Jul 2008] |
| Gene ID | 5094 |
|---|---|
| Other Names | Poly(rC)-binding protein 2, Alpha-CP2, Heterogeneous nuclear ribonucleoprotein E2, hnRNP E2, PCBP2 {ECO:0000303|PubMed:7607214, ECO:0000312|HGNC:HGNC:8648} |
| Target/Specificity | Detected in all tissues examined. |
| Dilution | IHC-P=1:100-500,IHC-F=1:100-500,IF=1:100-500 |
| Storage | Store at -20 °C for one year. Avoid repeated freeze/thaw cycles. When reconstituted in sterile pH 7.4 0.01M PBS or diluent of antibody the antibody is stable for at least two weeks at 2-4 °C. |
| Name | PCBP2 {ECO:0000303|PubMed:7607214, ECO:0000312|HGNC:HGNC:8648} |
|---|---|
| Function | Single-stranded nucleic acid binding protein that binds preferentially to oligo dC (PubMed:12414943, PubMed:7607214). Major cellular poly(rC)-binding protein (PubMed:12414943). Also binds poly(rU) (PubMed:12414943). Acts as a negative regulator of antiviral signaling (PubMed:19881509, PubMed:35322803). Negatively regulates cellular antiviral responses mediated by MAVS signaling (PubMed:19881509). It acts as an adapter between MAVS and the E3 ubiquitin ligase ITCH, therefore triggering MAVS ubiquitination and degradation (PubMed:19881509). Negativeley regulates the cGAS-STING pathway via interaction with CGAS, preventing the formation of liquid- like droplets in which CGAS is activated (PubMed:35322803). Together with PCBP1, required for erythropoiesis, possibly by regulating mRNA splicing (By similarity). |
| Cellular Location | Nucleus. Cytoplasm. Note=Loosely bound in the nucleus (PubMed:7607214). May shuttle between the nucleus and the cytoplasm (PubMed:7607214). |
| Tissue Location | Detected in all tissues examined. |
For Research Use Only. Not For Use In Diagnostic Procedures.
Provided below are standard protocols that you may find useful for product applications.
BACKGROUND
The protein encoded by this gene appears to be multifunctional. Along with PCBP-1 and hnRNPK, it is one of the major cellular poly(rC)-binding proteins. The encoded protein contains three K-homologous (KH) domains which may be involved in RNA binding. Together with PCBP-1, this protein also functions as a translational coactivator of poliovirus RNA via a sequence-specific interaction with stem-loop IV of the IRES, promoting poliovirus RNA replication by binding to its 5'-terminal cloverleaf structure. It has also been implicated in translational control of the 15-lipoxygenase mRNA, human papillomavirus type 16 L2 mRNA, and hepatitis A virus RNA. The encoded protein is also suggested to play a part in formation of a sequence-specific alpha-globin mRNP complex which is associated with alpha-globin mRNA stability. This multiexon structural mRNA is thought to be retrotransposed to generate PCBP-1, an intronless gene with functions similar to that of PCBP2. This gene and PCBP-1 have paralogous genes (PCBP3 and PCBP4) which are thought to have arisen as a result of duplication events of entire genes. Thsi gene also has two processed pseudogenes (PCBP2P1 and PCBP2P2). Multiple transcript variants encoding different isoforms have been found for this gene. [provided by RefSeq, Jul 2008]
终于等到您。ABCEPTA(百远生物)抗体产品。
点击下方“我要评价 ”按钮提交您的反馈信息,您的反馈和评价是我们最宝贵的财富之一,
我们将在1-3个工作日内处理您的反馈信息。
如有疑问,联系:0512-88856768 tech-china@abcepta.com.
















癌症的基本特征包括细胞增殖、血管生成、迁移、凋亡逃避机制和细胞永生等。找到癌症发生过程中这些通路的关键标记物和对应的抗体用于检测至关重要。
为您推荐一个泛素化位点预测神器——泛素化分析工具,可以为您的蛋白的泛素化位点作出预测和评分。
细胞自噬受体图形绘图工具为你的蛋白的细胞受体结合位点作出预测和评分,识别结合到自噬通路中的蛋白是非常重要的,便于让我们理解自噬在正常生理、病理过程中的作用,如发育、细胞分化、神经退化性疾病、压力条件下、感染和癌症。