TMEM109 Polyclonal Antibody
Purified Rabbit Polyclonal Antibody (Pab)
- 产品详情
- 实验流程
Application ![]()
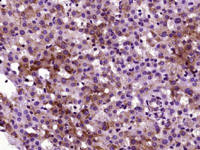
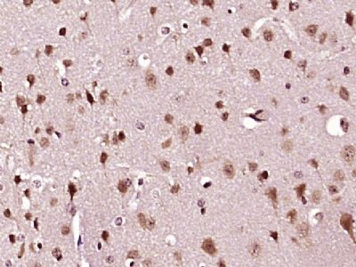
| WB, IHC-P, IHC-F, IF, ICC, E |
---|---|
Primary Accession | Q9BVC6 |
Reactivity | Rat, Pig, Dog, Bovine |
Host | Rabbit |
Clonality | Polyclonal |
Calculated MW | 26210 Da |
Physical State | Liquid |
Immunogen | KLH conjugated synthetic peptide derived from human TMEM109 |
Epitope Specificity | 151-243/243 |
Isotype | IgG |
Purity | affinity purified by Protein A |
Buffer | 0.01M TBS (pH7.4) with 1% BSA, 0.02% Proclin300 and 50% Glycerol. |
SUBCELLULAR LOCATION | Nucleus outer membrane. Endoplasmic reticulum membrane. Sarcoplasmic reticulum membrane. |
Important Note | This product as supplied is intended for research use only, not for use in human, therapeutic or diagnostic applications. |
Gene ID | 79073 |
---|---|
Other Names | Transmembrane protein 109, Mitsugumin-23, Mg23, TMEM109 |
Dilution | WB=1:500-2000,IHC-P=1:100-500,IHC-F=1:100-500,ICC=1:100-500,IF=1:100-500,ELISA=1:5000-10000 |
Format | 0.01M TBS(pH7.4) with 1% BSA, 0.09% (W/V) sodium azide and 50% Glyce |
Storage | Store at -20 °C for one year. Avoid repeated freeze/thaw cycles. When reconstituted in sterile pH 7.4 0.01M PBS or diluent of antibody the antibody is stable for at least two weeks at 2-4 °C. |
Name | TMEM109 (HGNC:28771) |
---|---|
Function | Functions as a voltage-gated monoatomic cation channel permeable to both potassium and calcium (By similarity). Plays a role in the cellular response to DNA damage (PubMed:23542032). |
Cellular Location | Nucleus outer membrane {ECO:0000250|UniProtKB:O77751}; Multi-pass membrane protein {ECO:0000250|UniProtKB:O77751}. Endoplasmic reticulum membrane {ECO:0000250|UniProtKB:O77751}; Multi-pass membrane protein {ECO:0000250|UniProtKB:O77751}. Sarcoplasmic reticulum membrane {ECO:0000250|UniProtKB:O77751}; Multi-pass membrane protein {ECO:0000250|UniProtKB:O77751} |
Research Areas
For Research Use Only. Not For Use In Diagnostic Procedures.
Application Protocols
Provided below are standard protocols that you may find useful for product applications.

终于等到您。ABCEPTA(百远生物)抗体产品。
点击下方“我要评价 ”按钮提交您的反馈信息,您的反馈和评价是我们最宝贵的财富之一,
我们将在1-3个工作日内处理您的反馈信息。
如有疑问,联系:0512-88856768 tech-china@abcepta.com.