ATG9B Rabbit pAb
ATG9B Rabbit pAb
- 产品详情
- 实验流程
- 背景知识
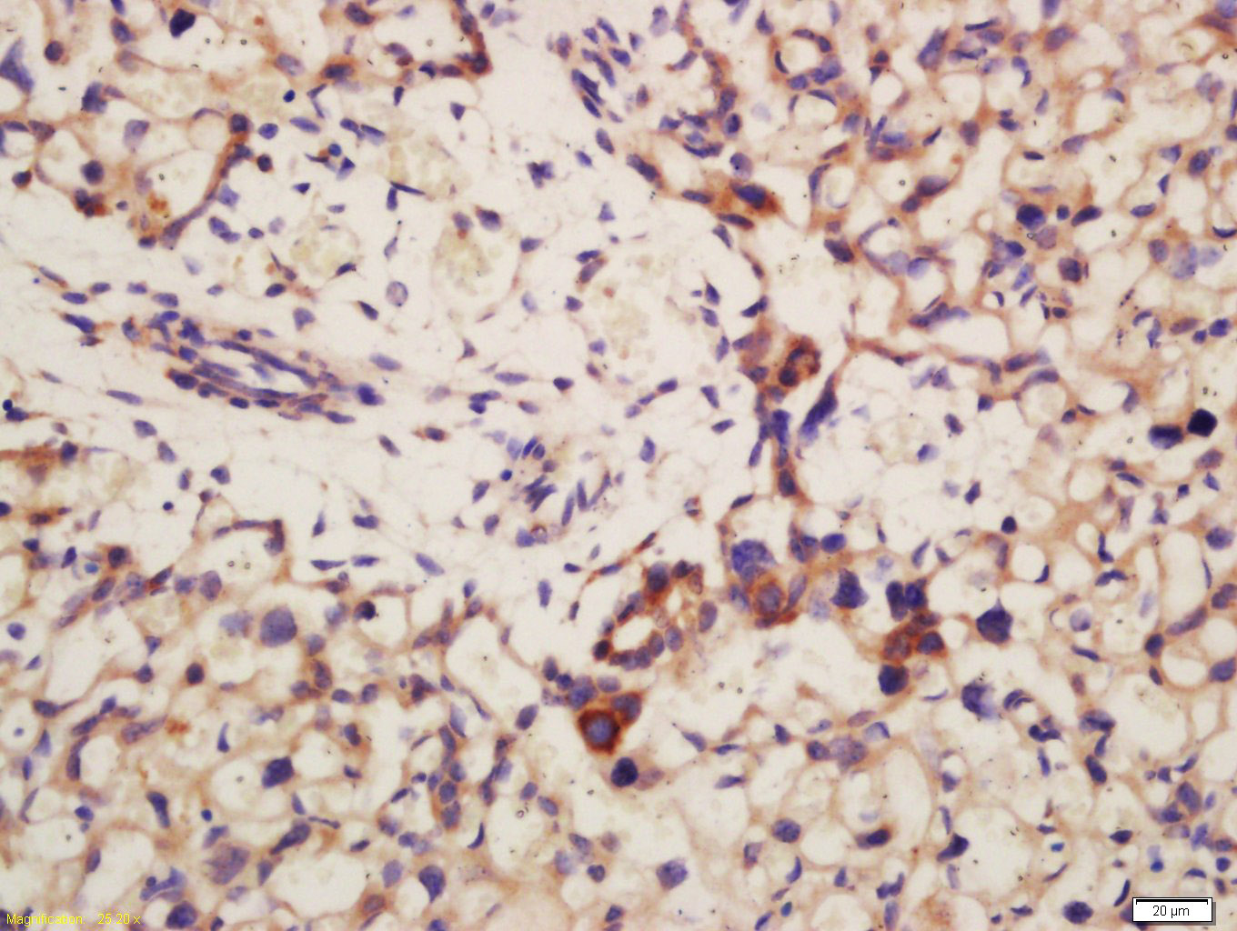
Application
| IHC-P, IHC-F, IF |
|---|---|
| Primary Accession | Q674R7 |
| Reactivity | Mouse, Rat |
| Predicted | Human, Dog, Pig, Rabbit |
| Host | Rabbit |
| Clonality | Polyclonal |
| Calculated MW | 101019 Da |
| Physical State | Liquid |
| Immunogen | KLH conjugated synthetic peptide derived from human ATG9B |
| Epitope Specificity | 351-450/923 |
| Isotype | IgG |
| Purity | affinity purified by Protein A |
| Buffer | 0.01M TBS (pH7.4) with 1% BSA, 0.02% Proclin300 and 50% Glycerol. |
| SUBCELLULAR LOCATION | Cytoplasmic vesicle ?autophagosome membrane; Multi-pass membrane protein. Note: Under amino acid starvation or rapamycin treatment, redistributes from a juxtanuclear clustered pool to a dispersed peripheral cytosolic pool. The starvation-induced redistribution depends on ULK1 and ATG13. |
| SIMILARITY | Belongs to the ATG9 family. |
| Important Note | This product as supplied is intended for research use only, not for use in human, therapeutic or diagnostic applications. |
| Background Descriptions | This gene functions in the regulation of autophagy, a lysosomal degradation pathway. This gene also functions as an antisense transcript in the posttranscriptional regulation of the endothelial nitric oxide synthase 3 gene, which has 3' overlap with this gene on the opposite strand. Mutations in this gene and disruption of the autophagy process have been associated with multiple cancers. Alternative splicing results in multiple transcript variants. [provided by RefSeq, Sep 2012] |
| Gene ID | 285973 |
|---|---|
| Other Names | Autophagy-related protein 9B, APG9-like 2, Nitric oxide synthase 3-overlapping antisense gene protein, Protein sONE, ATG9B |
| Target/Specificity | Highly expressed in placenta (trophoblast cells) and pituitary gland. Not expressed in vascular endothelial. |
| Dilution | IHC-P=1:100-500,IHC-F=1:100-500,IF=1:100-500 |
| Storage | Store at -20 °C for one year. Avoid repeated freeze/thaw cycles. When reconstituted in sterile pH 7.4 0.01M PBS or diluent of antibody the antibody is stable for at least two weeks at 2-4 °C. |
| Name | ATG9B |
|---|---|
| Function | Phospholipid scramblase involved in autophagy by mediating autophagosomal membrane expansion. Cycles between the preautophagosomal structure/phagophore assembly site (PAS) and the cytoplasmic vesicle pool and supplies membrane for the growing autophagosome. Lipid scramblase activity plays a key role in preautophagosomal structure/phagophore assembly by distributing the phospholipids that arrive through ATG2 (ATG2A or ATG2B) from the cytoplasmic to the luminal leaflet of the bilayer, thereby driving autophagosomal membrane expansion (By similarity). In addition to autophagy, also plays a role in necrotic cell death (By similarity). |
| Cellular Location | Preautophagosomal structure membrane; Multi-pass membrane protein. Note=Under amino acid starvation or rapamycin treatment, redistributes from a juxtanuclear clustered pool to a dispersed peripheral cytosolic pool (PubMed:18936157). The starvation-induced redistribution depends on ULK1 and ATG13 (PubMed:18936157). |
| Tissue Location | Highly expressed in placenta (trophoblast cells) and pituitary gland. Not expressed in vascular endothelial |
For Research Use Only. Not For Use In Diagnostic Procedures.
Provided below are standard protocols that you may find useful for product applications.
BACKGROUND
This gene functions in the regulation of autophagy, a lysosomal degradation pathway. This gene also functions as an antisense transcript in the posttranscriptional regulation of the endothelial nitric oxide synthase 3 gene, which has 3' overlap with this gene on the opposite strand. Mutations in this gene and disruption of the autophagy process have been associated with multiple cancers. Alternative splicing results in multiple transcript variants. [provided by RefSeq, Sep 2012]
终于等到您。ABCEPTA(百远生物)抗体产品。
点击下方“我要评价 ”按钮提交您的反馈信息,您的反馈和评价是我们最宝贵的财富之一,
我们将在1-3个工作日内处理您的反馈信息。
如有疑问,联系:0512-88856768 tech-china@abcepta.com.
















癌症的基本特征包括细胞增殖、血管生成、迁移、凋亡逃避机制和细胞永生等。找到癌症发生过程中这些通路的关键标记物和对应的抗体用于检测至关重要。
为您推荐一个泛素化位点预测神器——泛素化分析工具,可以为您的蛋白的泛素化位点作出预测和评分。
细胞自噬受体图形绘图工具为你的蛋白的细胞受体结合位点作出预测和评分,识别结合到自噬通路中的蛋白是非常重要的,便于让我们理解自噬在正常生理、病理过程中的作用,如发育、细胞分化、神经退化性疾病、压力条件下、感染和癌症。