Selenium Binding Protein 1 Rabbit pAb
Selenium Binding Protein 1 Rabbit pAb
- 产品详情
- 实验流程
- 背景知识
Application
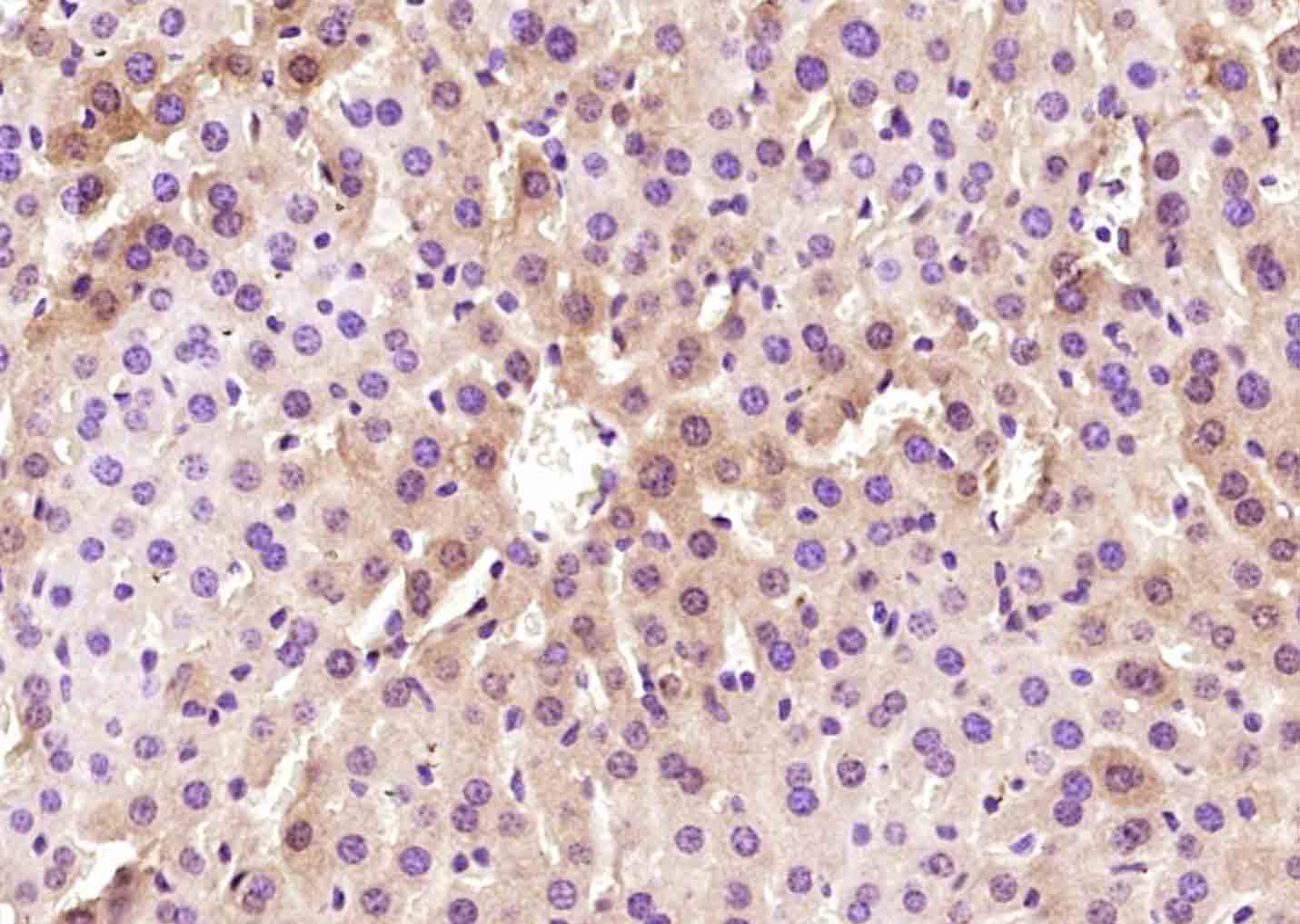
| WB, IHC-P, IHC-F, IF |
|---|---|
| Primary Accession | Q13228 |
| Reactivity | Human, Mouse |
| Host | Rabbit |
| Clonality | Polyclonal |
| Calculated MW | 52391 Da |
| Physical State | Liquid |
| Immunogen | KLH conjugated synthetic peptide derived from human SBP1/Selenium Binding Protein 1 |
| Epitope Specificity | 401-472/472 |
| Isotype | IgG |
| Purity | affinity purified by Protein A |
| Buffer | 0.01M TBS (pH7.4) with 1% BSA, 0.02% Proclin300 and 50% Glycerol. |
| SUBCELLULAR LOCATION | Nucleus. Cytoplasm, cytosol. Membrane; Peripheral membrane protein. Note=May associate with Golgi membrane. May associate with the membrane of autophagosomes. |
| SIMILARITY | Belongs to the selenium-binding protein family. |
| SUBUNIT | Interacts with USP33. |
| Post-translational modifications | The N-terminus is blocked. |
| Important Note | This product as supplied is intended for research use only, not for use in human, therapeutic or diagnostic applications. |
| Background Descriptions | Selenium is an essential trace element that confers tolerance to toxicity arising through exposure to heavy metals or other reactive xenobiotics. Selenium exhibits potent anticarcinogenic properties, and deficiency of selenium may cause certain neurologic diseases. Both effects are attributed to selenium-binding proteins. Selenium binding protein 1 is down-regulated in lung adenocarcinoma, colorectal cander and ovarian cancer. It is two-fold upregulated in the brains of patients suffering from schizophrenia, and is therefore a biomarker for this disease. |
| Gene ID | 8991 |
|---|---|
| Other Names | Methanethiol oxidase, MTO, 1.8.3.4, 56 kDa selenium-binding protein, SBP56, SP56, Selenium-binding protein 1, SELENBP1, SBP |
| Target/Specificity | Present in liver and colon (at protein level). |
| Dilution | WB=1:500-2000,IHC-P=1:100-500,IHC-F=1:100-500,IF=1:100-500,Flow-Cyt=2ug/Test |
| Storage | Store at -20 °C for one year. Avoid repeated freeze/thaw cycles. When reconstituted in sterile pH 7.4 0.01M PBS or diluent of antibody the antibody is stable for at least two weeks at 2-4 °C. |
| Name | SELENBP1 |
|---|---|
| Synonyms | SBP |
| Function | Catalyzes the oxidation of methanethiol, an organosulfur compound known to be produced in substantial amounts by gut bacteria (PubMed:29255262). Selenium-binding protein which may be involved in the sensing of reactive xenobiotics in the cytoplasm. May be involved in intra-Golgi protein transport (By similarity). |
| Cellular Location | Nucleus. Cytoplasm, cytosol Membrane {ECO:0000250|UniProtKB:Q8VIF7}; Peripheral membrane protein {ECO:0000250|UniProtKB:Q8VIF7}. Note=May associate with Golgi membrane (By similarity). May associate with the membrane of autophagosomes (By similarity). {ECO:0000250|UniProtKB:Q8VIF7} |
| Tissue Location | Widely expressed. Highly expressed in liver, lung, colon, prostate, kidney and pancreas. In brain, present both in neurons and glia (at protein level). Down-regulated in lung adenocarcinoma, colorectal carcinoma and ovarian cancer. Two-fold up-regulated in brain and blood from schizophrenia patients. |
For Research Use Only. Not For Use In Diagnostic Procedures.
Provided below are standard protocols that you may find useful for product applications.
BACKGROUND
Selenium is an essential trace element that confers tolerance to toxicity arising through exposure to heavy metals or other reactive xenobiotics. Selenium exhibits potent anticarcinogenic properties, and deficiency of selenium may cause certain neurologic diseases. Both effects are attributed to selenium-binding proteins. Selenium binding protein 1 is down-regulated in lung adenocarcinoma, colorectal cander and ovarian cancer. It is two-fold upregulated in the brains of patients suffering from schizophrenia, and is therefore a biomarker for this disease.
终于等到您。ABCEPTA(百远生物)抗体产品。
点击下方“我要评价 ”按钮提交您的反馈信息,您的反馈和评价是我们最宝贵的财富之一,
我们将在1-3个工作日内处理您的反馈信息。
如有疑问,联系:0512-88856768 tech-china@abcepta.com.
















癌症的基本特征包括细胞增殖、血管生成、迁移、凋亡逃避机制和细胞永生等。找到癌症发生过程中这些通路的关键标记物和对应的抗体用于检测至关重要。
为您推荐一个泛素化位点预测神器——泛素化分析工具,可以为您的蛋白的泛素化位点作出预测和评分。
细胞自噬受体图形绘图工具为你的蛋白的细胞受体结合位点作出预测和评分,识别结合到自噬通路中的蛋白是非常重要的,便于让我们理解自噬在正常生理、病理过程中的作用,如发育、细胞分化、神经退化性疾病、压力条件下、感染和癌症。