Apolipoprotein A V Rabbit pAb
Apolipoprotein A V Rabbit pAb
- 产品详情
- 实验流程
- 背景知识
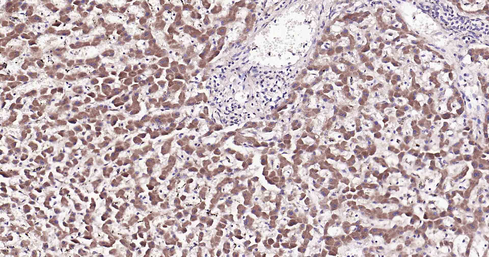
Application
| IHC-P, IHC-F, IF |
|---|---|
| Primary Accession | Q6Q788 |
| Reactivity | Human, Mouse |
| Predicted | Rat, Dog, Horse, Rabbit |
| Host | Rabbit |
| Clonality | Polyclonal |
| Calculated MW | 41213 Da |
| Physical State | Liquid |
| Immunogen | KLH conjugated synthetic peptide derived from human APOA5 |
| Epitope Specificity | 201-300/366 |
| Isotype | IgG |
| Purity | affinity purified by Protein A |
| Buffer | 0.01M TBS (pH7.4) with 1% BSA, 0.02% Proclin300 and 50% Glycerol. |
| SUBCELLULAR LOCATION | Secreted. |
| SIMILARITY | Belongs to the apolipoprotein A1/A4/E family. |
| SUBUNIT | Interacts with GPIHBP1. |
| Post-translational modifications | Phosphorylation sites are present in the extracellular medium. |
| DISEASE | Defects in APOA5 are a cause of hyperlipoproteinemia type 5 (HLPP5) [MIM:144650]. HLPP5 is characterized by increased amounts of chylomicrons and very low density lipoprotein (VLDL) and decreased low density lipoprotein (LDL) and high density lipoprotein (HDL) in the plasma after a fast. Numerous conditions cause this phenotype, including insulin-dependent diabetes mellitus, contraceptive steroids, alcohol abuse, and glycogen storage disease type 1A (GSD1A) [MIM:232200]. |
| Important Note | This product as supplied is intended for research use only, not for use in human, therapeutic or diagnostic applications. |
| Background Descriptions | The protein encoded by this gene is an apolipoprotein that plays an important role in regulating the plasma triglyceride levels, a major risk factor for coronary artery disease. It is a component of high density lipoprotein and is highly similar to a rat protein that is upregulated in response to liver injury. Mutations in this gene have been associated with hypertriglyceridemia and hyperlipoproteinemia type 5. This gene is located proximal to the apolipoprotein gene cluster on chromosome 11q23. Alternatively spliced transcript variants encoding the same protein have been identified. [provided by RefSeq, Oct 2009]. |
| Gene ID | 116519 |
|---|---|
| Other Names | Apolipoprotein A-V, Apo-AV, ApoA-V, Apolipoprotein A5, Regeneration-associated protein 3, APOA5, RAP3 |
| Target/Specificity | Liver and plasma. |
| Dilution | IHC-P=1:100-500,IHC-F=1:100-500,IF=1:100-500 |
| Storage | Store at -20 °C for one year. Avoid repeated freeze/thaw cycles. When reconstituted in sterile pH 7.4 0.01M PBS or diluent of antibody the antibody is stable for at least two weeks at 2-4 °C. |
| Name | APOA5 |
|---|---|
| Synonyms | RAP3 |
| Function | Minor apolipoprotein mainly associated with HDL and to a lesser extent with VLDL. May also be associated with chylomicrons. Important determinant of plasma triglyceride (TG) levels by both being a potent stimulator of apo-CII lipoprotein lipase (LPL) TG hydrolysis and an inhibitor of the hepatic VLDL-TG production rate (without affecting the VLDL-apoB production rate) (By similarity). Activates poorly lecithin:cholesterol acyltransferase (LCAT) and does not enhance efflux of cholesterol from macrophages. Binds heparin (PubMed:17326667). |
| Cellular Location | Secreted. Early endosome. Late endosome. Golgi apparatus, trans-Golgi network. Note=In the presence of SORL1, internalized to early endosomes, sorted in a retrograde fashion to late endosomes, from which a portion is sent to lysosomes and degradation, another portion is sorted to the trans-Golgi network |
| Tissue Location | Liver and plasma. |
For Research Use Only. Not For Use In Diagnostic Procedures.
Provided below are standard protocols that you may find useful for product applications.
BACKGROUND
The protein encoded by this gene is an apolipoprotein that plays an important role in regulating the plasma triglyceride levels, a major risk factor for coronary artery disease. It is a component of high density lipoprotein and is highly similar to a rat protein that is upregulated in response to liver injury. Mutations in this gene have been associated with hypertriglyceridemia and hyperlipoproteinemia type 5. This gene is located proximal to the apolipoprotein gene cluster on chromosome 11q23. Alternatively spliced transcript variants encoding the same protein have been identified. [provided by RefSeq, Oct 2009].
终于等到您。ABCEPTA(百远生物)抗体产品。
点击下方“我要评价 ”按钮提交您的反馈信息,您的反馈和评价是我们最宝贵的财富之一,
我们将在1-3个工作日内处理您的反馈信息。
如有疑问,联系:0512-88856768 tech-china@abcepta.com.
















癌症的基本特征包括细胞增殖、血管生成、迁移、凋亡逃避机制和细胞永生等。找到癌症发生过程中这些通路的关键标记物和对应的抗体用于检测至关重要。
为您推荐一个泛素化位点预测神器——泛素化分析工具,可以为您的蛋白的泛素化位点作出预测和评分。
细胞自噬受体图形绘图工具为你的蛋白的细胞受体结合位点作出预测和评分,识别结合到自噬通路中的蛋白是非常重要的,便于让我们理解自噬在正常生理、病理过程中的作用,如发育、细胞分化、神经退化性疾病、压力条件下、感染和癌症。