AGXT2L2 Rabbit pAb
AGXT2L2 Rabbit pAb
- 产品详情
- 实验流程
- 背景知识
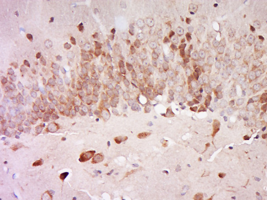
Application
| WB, IHC-P, IHC-F, IF |
|---|---|
| Primary Accession | Q8IUZ5 |
| Reactivity | Mouse, Rat |
| Predicted | Human, Sheep |
| Host | Rabbit |
| Clonality | Polyclonal |
| Calculated MW | 49711 Da |
| Physical State | Liquid |
| Immunogen | KLH conjugated synthetic peptide derived from human AGXT2L2 |
| Epitope Specificity | 381-450/450 |
| Purity | affinity purified by Protein A |
| Buffer | 0.01M TBS (pH7.4) with 1% BSA, 0.02% Proclin300 and 50% Glycerol. |
| SUBCELLULAR LOCATION | Mitochondrial |
| SIMILARITY | Belongs to the class-III pyridoxal-phosphate-dependent aminotransferase family. |
| SUBUNIT | Homotetramer. |
| Important Note | This product as supplied is intended for research use only, not for use in human, therapeutic or diagnostic applications. |
| Background Descriptions | Members of the class-III pyridoxal-phosphate-dependent aminotransferase family, such as AGXT2, catalyze the conversion of glyoxylate to glycine using L-alanine as the amino donor. AGXT2 protects from asymmetric dimethylarginine (ADMA)-induced inhibition in nitric oxide (NO) production. Elevated blood concentrations of ADMA, a methyl derivate of the amino acid arginine and an endogenous inhibitor of nitric oxide (NO) synthase, is produced by the physiological degradation of methylated proteins and is found in association with diabetes, hypertension, congestive heart failure and atherosclerosis. AGXT2L2 (alanine-glyoxylate aminotransferase 2-like 2) is a 450 amino acid pyridoxal phosphate that exists as a homotetramer. Belonging to the class-III pyridoxal-phosphate-dependent aminotransferase family, AGXT2L2 localizes to the mitochondria and exists as three alternatively spliced isoforms. Encoded by a gene located on human chromosome 5q35.3, AGXT2L2 may have similar functions as AGXT2. |
| Gene ID | 85007 |
|---|---|
| Other Names | 5-phosphohydroxy-L-lysine phospho-lyase, 4.2.3.134, Alanine--glyoxylate aminotransferase 2-like 2, PHYKPL, AGXT2L2 {ECO:0000303|PubMed:22241472} |
| Dilution | WB=1:500-2000,IHC-P=1:100-500,IHC-F=1:100-500,IF=1:100-500 |
| Storage | Store at -20 °C for one year. Avoid repeated freeze/thaw cycles. When reconstituted in sterile pH 7.4 0.01M PBS or diluent of antibody the antibody is stable for at least two weeks at 2-4 °C. |
| Name | PHYKPL |
|---|---|
| Synonyms | AGXT2L2 {ECO:0000303|PubMed:22241472} |
| Function | Catalyzes the pyridoxal-phosphate-dependent breakdown of 5- phosphohydroxy-L-lysine, converting it to ammonia, inorganic phosphate and 2-aminoadipate semialdehyde. |
| Cellular Location | Mitochondrion. |
For Research Use Only. Not For Use In Diagnostic Procedures.
Provided below are standard protocols that you may find useful for product applications.
BACKGROUND
Members of the class-III pyridoxal-phosphate-dependent aminotransferase family, such as AGXT2, catalyze the conversion of glyoxylate to glycine using L-alanine as the amino donor. AGXT2 protects from asymmetric dimethylarginine (ADMA)-induced inhibition in nitric oxide (NO) production. Elevated blood concentrations of ADMA, a methyl derivate of the amino acid arginine and an endogenous inhibitor of nitric oxide (NO) synthase, is produced by the physiological degradation of methylated proteins and is found in association with diabetes, hypertension, congestive heart failure and atherosclerosis. AGXT2L2 (alanine-glyoxylate aminotransferase 2-like 2) is a 450 amino acid pyridoxal phosphate that exists as a homotetramer. Belonging to the class-III pyridoxal-phosphate-dependent aminotransferase family, AGXT2L2 localizes to the mitochondria and exists as three alternatively spliced isoforms. Encoded by a gene located on human chromosome 5q35.3, AGXT2L2 may have similar functions as AGXT2.
终于等到您。ABCEPTA(百远生物)抗体产品。
点击下方“我要评价 ”按钮提交您的反馈信息,您的反馈和评价是我们最宝贵的财富之一,
我们将在1-3个工作日内处理您的反馈信息。
如有疑问,联系:0512-88856768 tech-china@abcepta.com.
















癌症的基本特征包括细胞增殖、血管生成、迁移、凋亡逃避机制和细胞永生等。找到癌症发生过程中这些通路的关键标记物和对应的抗体用于检测至关重要。
为您推荐一个泛素化位点预测神器——泛素化分析工具,可以为您的蛋白的泛素化位点作出预测和评分。
细胞自噬受体图形绘图工具为你的蛋白的细胞受体结合位点作出预测和评分,识别结合到自噬通路中的蛋白是非常重要的,便于让我们理解自噬在正常生理、病理过程中的作用,如发育、细胞分化、神经退化性疾病、压力条件下、感染和癌症。