Protein S Rabbit pAb
Protein S Rabbit pAb
- 产品详情
- 实验流程
- 背景知识
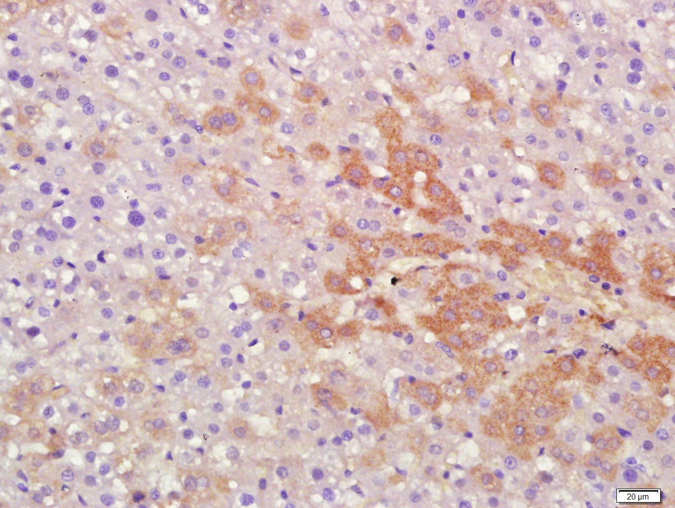
Application
| WB, IHC-P, IHC-F, IF |
|---|---|
| Primary Accession | P07225 |
| Reactivity | Mouse, Rat |
| Predicted | Human, Horse, Sheep |
| Host | Rabbit |
| Clonality | Polyclonal |
| Calculated MW | 75123 Da |
| Physical State | Liquid |
| Immunogen | KLH conjugated synthetic peptide derived from human Protein S/PROS |
| Epitope Specificity | 221-320/676 |
| Isotype | IgG |
| Purity | affinity purified by Protein A |
| Buffer | 0.01M TBS (pH7.4) with 1% BSA, 0.02% Proclin300 and 50% Glycerol. |
| SUBCELLULAR LOCATION | Secreted |
| SIMILARITY | Contains 4 EGF-like domains. Contains 1 Gla (gamma-carboxy-glutamate) domain. Contains 2 laminin G-like domains. |
| Post-translational modifications | The iron and 2-oxoglutarate dependent 3-hydroxylation of aspartate and asparagine is (R) stereospecific within EGF domains (By similarity). |
| DISEASE | Defects in PROS1 are the cause of thrombophilia due to protein S deficiency, autosomal dominant (THPH5) [MIM:612336]. A hemostatic disorder characterized by impaired regulation of blood coagulation and a tendency to recurrent venous thrombosis. However, many adults with heterozygous disease may be asymptomatic. Based on the plasma levels of total and free PROS1 antigen as well as the serine protease-activated protein C cofactor activity, three types of PROS1D have been described: type I, characterized by reduced total and free PROS1 antigen levels together with reduced anticoagulant activity; type III, in which only free PROS1 antigen and PROS1 activity levels are reduced; and the rare type II which is characterized by normal concentrations of both total and free PROS1 antigen, but low cofactor activity. Defects in PROS1 are the cause of thrombophilia due to protein S deficiency, autosomal recessive (THPH6) [MIM:614514]. A very rare and severe hematologic disorder resulting in thrombosis and secondary hemorrhage usually beginning in early infancy. Some affected individuals develop neonatal purpura fulminans, multifocal thrombosis, or intracranial hemorrhage. |
| Important Note | This product as supplied is intended for research use only, not for use in human, therapeutic or diagnostic applications. |
| Background Descriptions | Protein S (PROS) is a vitamin K-dependent plasma protein that inhibits blood clotting by serving as a cofactor for activated protein C (APC) and facilitates clearance of early apoptotic cells. In the plasma, circulating Protein S becomes inactive upon complexing with C4b-binding protein (C4BP); 60-70% of Protein S circulates in complex with C4BP. Calcium-dependent association of C4BP-Protein S with apoptotic cells influences the regulation of complement activation. Protein S has APC-independent anticoagulant activity through direct inhibition of prothrombin activation via interactions with Factor X A, Factor V A and phospholipids. Autosomal dominant Protein S deficiency (levels 15 to 37% of normal) correlates with severe recurrent venous thrombosis. |
| Gene ID | 5627 |
|---|---|
| Other Names | Vitamin K-dependent protein S, PROS1, PROS |
| Target/Specificity | Plasma. |
| Dilution | WB=1:500-2000,IHC-P=1:100-500,IHC-F=1:100-500,IF=1:100-500 |
| Storage | Store at -20 °C for one year. Avoid repeated freeze/thaw cycles. When reconstituted in sterile pH 7.4 0.01M PBS or diluent of antibody the antibody is stable for at least two weeks at 2-4 °C. |
| Name | PROS1 |
|---|---|
| Synonyms | PROS |
| Function | Anticoagulant plasma protein; it is a cofactor to activated protein C in the degradation of coagulation factors Va and VIIIa. It helps to prevent coagulation and stimulating fibrinolysis. |
| Cellular Location | Secreted. |
| Tissue Location | Plasma. |
For Research Use Only. Not For Use In Diagnostic Procedures.
Provided below are standard protocols that you may find useful for product applications.
BACKGROUND
Protein S (PROS) is a vitamin K-dependent plasma protein that inhibits blood clotting by serving as a cofactor for activated protein C (APC) and facilitates clearance of early apoptotic cells. In the plasma, circulating Protein S becomes inactive upon complexing with C4b-binding protein (C4BP); 60-70% of Protein S circulates in complex with C4BP. Calcium-dependent association of C4BP-Protein S with apoptotic cells influences the regulation of complement activation. Protein S has APC-independent anticoagulant activity through direct inhibition of prothrombin activation via interactions with Factor X A, Factor V A and phospholipids. Autosomal dominant Protein S deficiency (levels 15 to 37% of normal) correlates with severe recurrent venous thrombosis.
终于等到您。ABCEPTA(百远生物)抗体产品。
点击下方“我要评价 ”按钮提交您的反馈信息,您的反馈和评价是我们最宝贵的财富之一,
我们将在1-3个工作日内处理您的反馈信息。
如有疑问,联系:0512-88856768 tech-china@abcepta.com.
















癌症的基本特征包括细胞增殖、血管生成、迁移、凋亡逃避机制和细胞永生等。找到癌症发生过程中这些通路的关键标记物和对应的抗体用于检测至关重要。
为您推荐一个泛素化位点预测神器——泛素化分析工具,可以为您的蛋白的泛素化位点作出预测和评分。
细胞自噬受体图形绘图工具为你的蛋白的细胞受体结合位点作出预测和评分,识别结合到自噬通路中的蛋白是非常重要的,便于让我们理解自噬在正常生理、病理过程中的作用,如发育、细胞分化、神经退化性疾病、压力条件下、感染和癌症。