ECRG4 Rabbit pAb
ECRG4 Rabbit pAb
- 产品详情
- 实验流程
- 背景知识
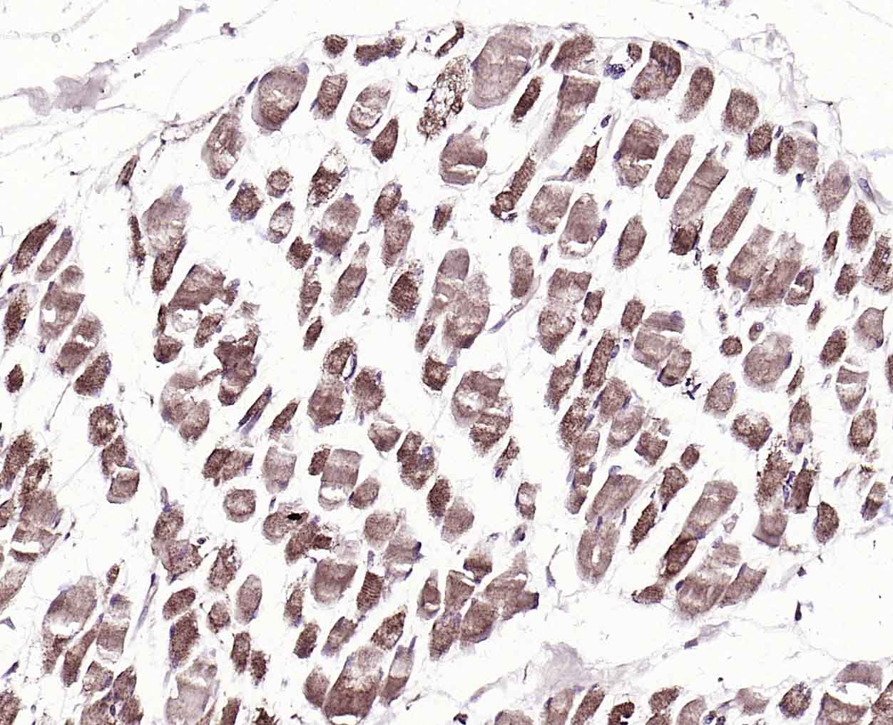
Application
| IHC-P, IHC-F, IF |
|---|---|
| Primary Accession | Q9H1Z8 |
| Reactivity | Pig, Human, Dog |
| Host | Rabbit |
| Clonality | Polyclonal |
| Calculated MW | 7 KDa |
| Physical State | Liquid |
| Immunogen | KLH conjugated synthetic peptide derived from human ECRG4/C2orf40 |
| Epitope Specificity | 41-148/148 |
| Isotype | IgG |
| Purity | affinity purified by Protein A |
| Buffer | 0.01M TBS (pH7.4) with 1% BSA, 0.02% Proclin300 and 50% Glycerol. |
| SUBCELLULAR LOCATION | Secreted. Cytoplasmic vesicle, secretory vesicle. |
| SIMILARITY | Belongs to the augurin family. |
| Important Note | This product as supplied is intended for research use only, not for use in human, therapeutic or diagnostic applications. |
| Background Descriptions | ECRG4, also known as augurin or C2orf40, is a 148 amino acid secreted protein. Belonging to the augurin family, ECRG4 is thought to be a hormone. It has also been suggested that ECRG4 may act as a tumor suppressor. The gene that encodes ECRG4 maps to human chromosome 2, which consists of 237 million bases encoding over 1,400 genes, making up approximately 8% of the human genome. A number of genetic diseases are linked to genes on chromosome 2. Harlequin icthyosis, a rare and morbid skin deformity, is associated with mutations in the ABCA12 gene. The lipid metabolic disorder sitosterolemia is associated with ABCG5 and ABCG8. An extremely rare recessive genetic disorder, Alstr syndrome is due to mutations in the ALMS1 gene. Interestingly, chromosome 2 contains what appears to be a vestigial second centromere and vestigial telomeres which gives credence to the hypothesis that human chromosome 2 is the result of an ancient fusion of two ancestral chromosomes. |
| Other Names | Augurin, Esophageal cancer-related gene 4 protein {ECO:0000303|Ref.1}, ECRG4, ECRG4 (HGNC:24642), C2orf40 |
|---|---|
| Dilution | IHC-P=1:100-500,IHC-F=1:100-500,IF=1:50-200 |
| Storage | Store at -20 °C for one year. Avoid repeated freeze/thaw cycles. When reconstituted in sterile pH 7.4 0.01M PBS or diluent of antibody the antibody is stable for at least two weeks at 2-4 °C. |
For Research Use Only. Not For Use In Diagnostic Procedures.
Provided below are standard protocols that you may find useful for product applications.
BACKGROUND
ECRG4, also known as augurin or C2orf40, is a 148 amino acid secreted protein. Belonging to the augurin family, ECRG4 is thought to be a hormone. It has also been suggested that ECRG4 may act as a tumor suppressor. The gene that encodes ECRG4 maps to human chromosome 2, which consists of 237 million bases encoding over 1,400 genes, making up approximately 8% of the human genome. A number of genetic diseases are linked to genes on chromosome 2. Harlequin icthyosis, a rare and morbid skin deformity, is associated with mutations in the ABCA12 gene. The lipid metabolic disorder sitosterolemia is associated with ABCG5 and ABCG8. An extremely rare recessive genetic disorder, Alstr syndrome is due to mutations in the ALMS1 gene. Interestingly, chromosome 2 contains what appears to be a vestigial second centromere and vestigial telomeres which gives credence to the hypothesis that human chromosome 2 is the result of an ancient fusion of two ancestral chromosomes.
终于等到您。ABCEPTA(百远生物)抗体产品。
点击下方“我要评价 ”按钮提交您的反馈信息,您的反馈和评价是我们最宝贵的财富之一,
我们将在1-3个工作日内处理您的反馈信息。
如有疑问,联系:0512-88856768 tech-china@abcepta.com.
















癌症的基本特征包括细胞增殖、血管生成、迁移、凋亡逃避机制和细胞永生等。找到癌症发生过程中这些通路的关键标记物和对应的抗体用于检测至关重要。
为您推荐一个泛素化位点预测神器——泛素化分析工具,可以为您的蛋白的泛素化位点作出预测和评分。
细胞自噬受体图形绘图工具为你的蛋白的细胞受体结合位点作出预测和评分,识别结合到自噬通路中的蛋白是非常重要的,便于让我们理解自噬在正常生理、病理过程中的作用,如发育、细胞分化、神经退化性疾病、压力条件下、感染和癌症。