CD22 Polyclonal Antibody
- 产品详情
- 实验流程
- 背景知识
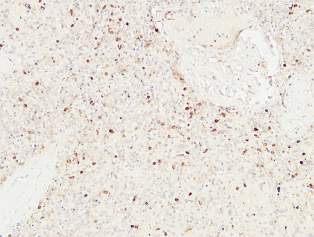
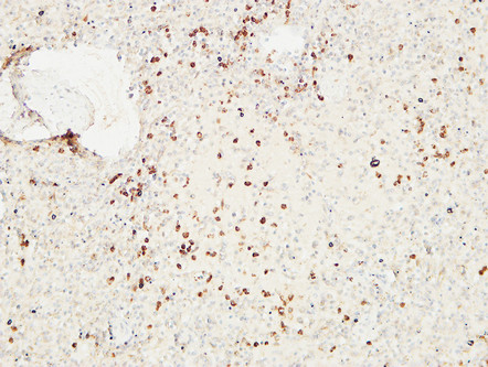
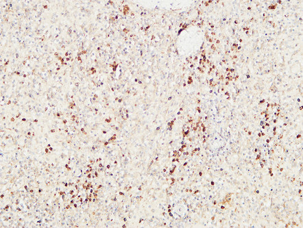
Application
| WB |
|---|---|
| Primary Accession | P20273 |
| Reactivity | Human |
| Host | Rabbit |
| Clonality | Polyclonal |
| Calculated MW | 95348 Da |
| Gene ID | 933 |
|---|---|
| Other Names | B-cell receptor CD22 (B-lymphocyte cell adhesion molecule) (BL-CAM) (Sialic acid-binding Ig-like lectin 2) (Siglec-2) (T-cell surface antigen Leu-14) (CD antigen CD22) |
| Dilution | WB~~WB 1:500-2000, ELISA 1:10000-20000 |
| Format | Liquid in PBS containing 50% glycerol, 0.5% BSA and 0.09% (W/V) sodium azide. |
| Storage Conditions | -20℃ |
| Name | CD22 {ECO:0000303|PubMed:1691828, ECO:0000312|HGNC:HGNC:1643} |
|---|---|
| Function | Most highly expressed siglec (sialic acid-binding immunoglobulin-like lectin) on B-cells that plays a role in various aspects of B-cell biology including differentiation, antigen presentation, and trafficking to bone marrow (PubMed:34330755, PubMed:8627166). Binds to alpha 2,6-linked sialic acid residues of surface molecules such as CD22 itself, CD45 and IgM in a cis configuration. Can also bind to ligands on other cells as an adhesion molecule in a trans configuration (PubMed:20172905). Acts as an inhibitory coreceptor on the surface of B-cells and inhibits B-cell receptor induced signaling, characterized by inhibition of the calcium mobilization and cellular activation. Mechanistically, the immunoreceptor tyrosine-based inhibitory motif domain is phosphorylated by the Src kinase LYN, which in turn leads to the recruitment of the protein tyrosine phosphatase 1/PTPN6, leading to the negative regulation of BCR signaling (PubMed:8627166). If this negative signaling from is of sufficient strength, apoptosis of the B-cell can be induced (PubMed:20516366). |
| Cellular Location | Cell membrane; Single-pass type I membrane protein |
| Tissue Location | B-lymphocytes. |
For Research Use Only. Not For Use In Diagnostic Procedures.
Provided below are standard protocols that you may find useful for product applications.
BACKGROUND
Mediates B-cell B-cell interactions. May be involved in the localization of B-cells in lymphoid tissues. Binds sialylated glycoproteins; one of which is CD45. Preferentially binds to alpha-2,6-linked sialic acid. The sialic acid recognition site can be masked by cis interactions with sialic acids on the same cell surface. Upon ligand induced tyrosine phosphorylation in the immune response seems to be involved in regulation of B-cell antigen receptor signaling. Plays a role in positive regulation through interaction with Src family tyrosine kinases and may also act as an inhibitory receptor by recruiting cytoplasmic phosphatases via their SH2 domains that block signal transduction through dephosphorylation of signaling molecules.
终于等到您。ABCEPTA(百远生物)抗体产品。
点击下方“我要评价 ”按钮提交您的反馈信息,您的反馈和评价是我们最宝贵的财富之一,
我们将在1-3个工作日内处理您的反馈信息。
如有疑问,联系:0512-88856768 tech-china@abcepta.com.
















癌症的基本特征包括细胞增殖、血管生成、迁移、凋亡逃避机制和细胞永生等。找到癌症发生过程中这些通路的关键标记物和对应的抗体用于检测至关重要。
为您推荐一个泛素化位点预测神器——泛素化分析工具,可以为您的蛋白的泛素化位点作出预测和评分。
细胞自噬受体图形绘图工具为你的蛋白的细胞受体结合位点作出预测和评分,识别结合到自噬通路中的蛋白是非常重要的,便于让我们理解自噬在正常生理、病理过程中的作用,如发育、细胞分化、神经退化性疾病、压力条件下、感染和癌症。