注册 | 登录
点击这里给我发消息
所有产品
  • 所有产品
  • 一抗
  • 裂解液
>   首页   >   产品   >   一抗   >   其他   >   TXNRD1 Rabbit mAb   

TXNRD1 Rabbit mAb

     
  • 1 - TXNRD1 Rabbit mAb AP76218
    Western blot analysis of TXNRD1 in 3T3 lysates using Thioredoxin Reductase 1 antibody.
  • 2 - TXNRD1 Rabbit mAb AP76218
    Western blot analysis of TXNRD1 in K562, Hela lysates using TXNRD1 antibody.
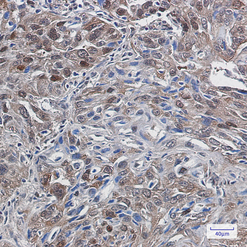
  • 8 - TXNRD1 Rabbit mAb AP76218
    Immunohistochemistry analysis of paraffin-embedded Human lung cancer using TXNRD1 antibody. High-pressure and temperature Sodium Citrate pH 6.0 was used for antigen retrieval.
  • 4 - TXNRD1 Rabbit mAb AP76218
    Immunocytochemistry analysis of TXNRD1(green) in Hela using TXNRD1 antibody,and DAPI(blue).
  • 产品详情
  • 实验流程
  • 背景知识
Product Information
Application
  • Applications Legend:
  • E=ELISA
  • WB=Western Blotting
  • IHC=Immunohistochemistry
  • IHC-P=Immunohistochemistry (Paraffin)
  • IP=Immunoprecipitation
  • IF=Immunofluorescence
  • IC=Immunochemistry
  • ICC=Immunocytochemistry
  • FC=Flow Cytometry
  • DB=Dot Blot
WB, IHC-P, IHC-F, FC, IP
Primary Accession Q16881
Reactivity Rat, Human, Mouse
Host Rabbit
Clonality Monoclonal Antibody
Isotype IgG
Conjugate Unconjugated
Purification Affinity Purified
Calculated MW 70906 Da
Additional Information
Gene ID 7296
Other Names TXNRD1
Dilution WB~~1:1000-1:5000
IHC-P~~1:50~200
IHC-F~~N/A
FC~~1:100-1:500
IP~~1:10-1:100
Format Liquid in 50mM Tris-Glycine(pH 7.4), 0.15M NaCl, 40%Glycerol, 0.01% sodium azide and 0.05% BSA.
StorageStore at 4°C short term. Aliquot and store at -20°C long term. Avoid freeze/thaw cycles.
Protein Information
Name TXNRD1 (HGNC:12437)
Synonyms GRIM12, KDRF
Function Reduces disulfide protein thioredoxin (Trx) to its dithiol- containing form (PubMed:8577704). Homodimeric flavoprotein involved in the regulation of cellular redox reactions, growth and differentiation. A selenocysteine residue at the C-terminal active site is essential for catalysis (Probable). Also has reductase activity on hydrogen peroxide (H2O2) (PubMed:10849437).
Cellular Location [Isoform 1]: Cytoplasm [Isoform 5]: Cytoplasm
Tissue Location [Isoform 1]: Expressed predominantly in Leydig cells (at protein level). Also expressed in ovary, spleen, heart, liver, kidney and pancreas and in a number of cancer cell lines
Research Areas

For Research Use Only. Not For Use In Diagnostic Procedures.

BACKGROUND

Isoform 1 may possess glutaredoxin activity as well as thioredoxin reductase activity and induces actin and tubulin polymerization, leading to formation of cell membrane protrusions. Isoform 4 enhances the transcriptional activity of estrogen receptors alpha and beta while isoform 5 enhances the transcriptional activity of the beta receptor only. Isoform 5 also mediates cell death induced by a combination of interferon-beta and retinoic acid.

FeedBack

终于等到您。ABCEPTA(百远生物)抗体产品。
点击下方“我要评价 ”按钮提交您的反馈信息,您的反馈和评价是我们最宝贵的财富之一,
我们将在1-3个工作日内处理您的反馈信息。

如有疑问,联系:0512-88856768 tech-china@abcepta.com.


我要评价