ADH5 Antibody (Center)
Purified Rabbit Polyclonal Antibody (Pab)
- 产品详情
- 实验流程
- 背景知识
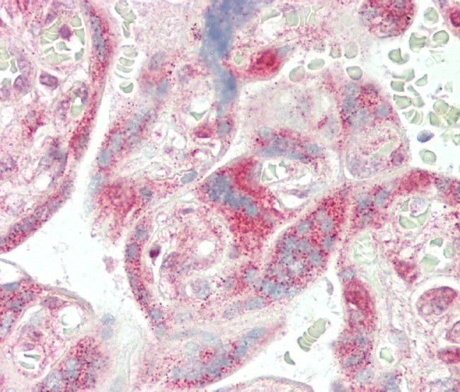
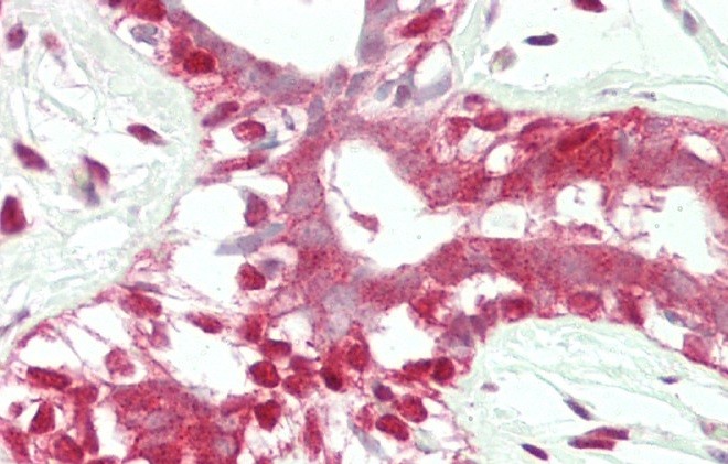
Application
| WB, IHC-P, FC, E |
|---|---|
| Primary Accession | P11766 |
| Other Accession | O19053 |
| Reactivity | Human |
| Predicted | Rabbit |
| Host | Rabbit |
| Clonality | Polyclonal |
| Isotype | Rabbit IgG |
| Calculated MW | 39724 Da |
| Antigen Region | 212-239 aa |
| Gene ID | 128 |
|---|---|
| Other Names | Alcohol dehydrogenase class-3, Alcohol dehydrogenase 5, Alcohol dehydrogenase class chi chain, Alcohol dehydrogenase class-III, Glutathione-dependent formaldehyde dehydrogenase, FALDH, FDH, GSH-FDH, 111-, S-(hydroxymethyl)glutathione dehydrogenase, ADH5 (HGNC:253), ADHX, FDH |
| Target/Specificity | This ADH5 antibody is generated from rabbits immunized with a KLH conjugated synthetic peptide between 212-239 amino acids from the Central region of human ADH5. |
| Dilution | WB~~1:1000 IHC-P~~1:100~500 FC~~1:10~50 E~~Use at an assay dependent concentration. |
| Format | Purified polyclonal antibody supplied in PBS with 0.09% (W/V) sodium azide. This antibody is purified through a protein A column, followed by peptide affinity purification. |
| Storage | Maintain refrigerated at 2-8°C for up to 2 weeks. For long term storage store at -20°C in small aliquots to prevent freeze-thaw cycles. |
| Precautions | ADH5 Antibody (Center) is for research use only and not for use in diagnostic or therapeutic procedures. |
| Name | ADH5 (HGNC:253) |
|---|---|
| Synonyms | ADHX, FDH |
| Function | Catalyzes the oxidation of long-chain primary alcohols and the oxidation of S-(hydroxymethyl) glutathione (PubMed:8460164). Also oxidizes long chain omega-hydroxy fatty acids, such as 20-HETE, producing both the intermediate aldehyde, 20-oxoarachidonate and the end product, a dicarboxylic acid, (5Z,8Z,11Z,14Z)-eicosatetraenedioate (PubMed:16081420). Class-III ADH is remarkably ineffective in oxidizing ethanol (PubMed:8460164). Required for clearance of cellular formaldehyde, a cytotoxic and carcinogenic metabolite that induces DNA damage (PubMed:33355142). Also acts as a S-nitroso-glutathione reductase by catalyzing the NADH-dependent reduction of S- nitrosoglutathione, thereby regulating protein S-nitrosylation (By similarity). |
| Cellular Location | Cytoplasm. |
For Research Use Only. Not For Use In Diagnostic Procedures.
Provided below are standard protocols that you may find useful for product applications.
BACKGROUND
ADH5 is a member of the alcohol dehydrogenase family. Members of this family metabolize a wide variety of substrates, including ethanol, retinol, other aliphatic alcohols, hydroxysteroids, and lipid peroxidation products. This protein forms a homodimer. It has virtually no activity for ethanol oxidation, but exhibits high activity for oxidation of long-chain primary alcohols and for oxidation of S-hydroxymethyl-glutathione, a spontaneous adduct between formaldehyde and glutathione. This enzyme is an important component of cellular metabolism for the elimination of formaldehyde, a potent irritant and sensitizing agent that causes lacrymation, rhinitis, pharyngitis, and contact dermatitis.
REFERENCES
Martins-de-Souza,D., et.al., Eur Arch Psychiatry Clin Neurosci 259 (3), 151-163 (2009)
Iborra,F.J., et.al., J. Histochem. Cytochem. 40 (12), 1865-1878 (1992)
终于等到您。ABCEPTA(百远生物)抗体产品。
点击下方“我要评价 ”按钮提交您的反馈信息,您的反馈和评价是我们最宝贵的财富之一,
我们将在1-3个工作日内处理您的反馈信息。
如有疑问,联系:0512-88856768 tech-china@abcepta.com.
















癌症的基本特征包括细胞增殖、血管生成、迁移、凋亡逃避机制和细胞永生等。找到癌症发生过程中这些通路的关键标记物和对应的抗体用于检测至关重要。
为您推荐一个泛素化位点预测神器——泛素化分析工具,可以为您的蛋白的泛素化位点作出预测和评分。
细胞自噬受体图形绘图工具为你的蛋白的细胞受体结合位点作出预测和评分,识别结合到自噬通路中的蛋白是非常重要的,便于让我们理解自噬在正常生理、病理过程中的作用,如发育、细胞分化、神经退化性疾病、压力条件下、感染和癌症。