CSRP2BP Antibody (Center)
Affinity Purified Rabbit Polyclonal Antibody (Pab)
- 产品详情
- 实验流程
- 背景知识
Application
| WB, IHC-P, E |
|---|---|
| Primary Accession | Q9H8E8 |
| Other Accession | Q8CID0 |
| Reactivity | Human, Mouse |
| Host | Rabbit |
| Clonality | Polyclonal |
| Isotype | Rabbit IgG |
| Calculated MW | 88844 Da |
| Antigen Region | 246-275 aa |
| Gene ID | 57325 |
|---|---|
| Other Names | Cysteine-rich protein 2-binding protein, CSRP2-binding protein, ADA2A-containing complex subunit 2, ATAC2, CRP2-binding partner, CRP2BP, CSRP2BP |
| Target/Specificity | This CSRP2BP antibody is generated from rabbits immunized with a KLH conjugated synthetic peptide between 246-275 amino acids from the Central region of human CSRP2BP. |
| Dilution | WB~~1:1000 IHC-P~~1:100~500 E~~Use at an assay dependent concentration. |
| Format | Purified polyclonal antibody supplied in PBS with 0.09% (W/V) sodium azide. This antibody is purified through a protein A column, followed by peptide affinity purification. |
| Storage | Maintain refrigerated at 2-8°C for up to 2 weeks. For long term storage store at -20°C in small aliquots to prevent freeze-thaw cycles. |
| Precautions | CSRP2BP Antibody (Center) is for research use only and not for use in diagnostic or therapeutic procedures. |
| Name | KAT14 (HGNC:15904) |
|---|---|
| Synonyms | CSRP2BP |
| Function | Component of the ATAC complex, a complex with histone acetyltransferase activity on histones H3 and H4. May function as a scaffold for the ATAC complex to promote ATAC complex stability. Has also weak histone acetyltransferase activity toward histone H4. Required for the normal progression through G1 and G2/M phases of the cell cycle. |
| Cellular Location | Nucleus. Cytoplasm. Note=Mainly nuclear. |
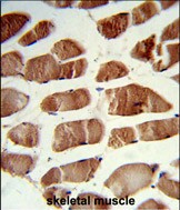
| Tissue Location | Expressed in skeletal muscle, heart, lung, placenta, brain, liver, pancreas and kidney. High expression in skeletal muscle and heart. Lower expression in lung |
For Research Use Only. Not For Use In Diagnostic Procedures.
Provided below are standard protocols that you may find useful for product applications.
BACKGROUND
CSRP2 is a protein containing two LIM domains, which are double zinc finger motifs found in proteins of diverse function. CSRP2 and some related proteins are thought to act as protein adapters, bridging two or more proteins to form a larger protein complex. The protein encoded by this gene binds to one of the LIM domains of CSRP2 and contains an acetyltransferase domain. Although the encoded protein has been detected in the cytoplasm, it is predominantly a nuclear protein. Two transcript variants encoding different isoforms have been found for this gene.
REFERENCES
Venkatesan,K.,et.al., Nat. Methods 6 (1), 83-90 (2009)
终于等到您。ABCEPTA(百远生物)抗体产品。
点击下方“我要评价 ”按钮提交您的反馈信息,您的反馈和评价是我们最宝贵的财富之一,
我们将在1-3个工作日内处理您的反馈信息。
如有疑问,联系:0512-88856768 tech-china@abcepta.com.
















癌症的基本特征包括细胞增殖、血管生成、迁移、凋亡逃避机制和细胞永生等。找到癌症发生过程中这些通路的关键标记物和对应的抗体用于检测至关重要。
为您推荐一个泛素化位点预测神器——泛素化分析工具,可以为您的蛋白的泛素化位点作出预测和评分。
细胞自噬受体图形绘图工具为你的蛋白的细胞受体结合位点作出预测和评分,识别结合到自噬通路中的蛋白是非常重要的,便于让我们理解自噬在正常生理、病理过程中的作用,如发育、细胞分化、神经退化性疾病、压力条件下、感染和癌症。