MUC6 Mouse mAb
MUC6 Mouse mAb
- 产品详情
- 实验流程
- 背景知识
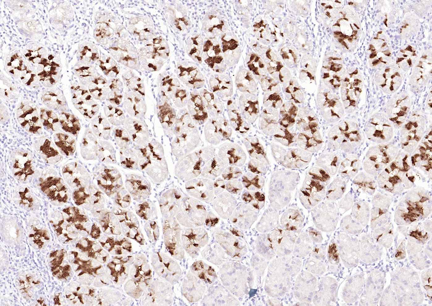
Application
| IHC-P, IHC-F, IF |
|---|---|
| Primary Accession | Q6W4X9 |
| Reactivity | Human, Mouse, Rat |
| Host | Mouse |
| Clonality | Monoclonal |
| Calculated MW | 257051 Da |
| Physical State | Liquid |
| Immunogen | KLH conjugated synthetic peptide derived from human MUC6 |
| Isotype | IgG1, Kappa |
| Purity | affinity purified by Protein A |
| Buffer | Liquid in PBS containing 50% Glycerol, 0.5% BSA and 0.02% Proclin300. |
| SUBCELLULAR LOCATION | Secreted. |
| SIMILARITY | Contains 1 CTCK (C-terminal cystine knot-like) domain. Contains 1 TIL (trypsin inhibitory-like) domain. Contains 3 VWFD domains. |
| Post-translational modifications | O-glycosylated. |
| Important Note | This product as supplied is intended for research use only, not for use in human, therapeutic or diagnostic applications. |
| Background Descriptions | This gene encodes a member of the mucin protein family. Mucins are high molecular weight glycoproteins produced by many epithelial tissues. The protein encoded by this gene is secreted and forms an insoluble mucous barrier that protects the gut lumen. [provided by RefSeq, Dec 2016] |
| Gene ID | 4588 |
|---|---|
| Other Names | Mucin-6, MUC-6, Gastric mucin-6, MUC6 |
| Target/Specificity | Expressed in the regenerative zone of gastric antrum, gastric body mucosa and gastric incisura mucosa. Expressed in the deeper mucous glands of gastric antrum. Overexpressed in Helicobacter pylori infected gastric epithelium. Highly expressed in duodenal Brunner's glands, gall bladder, seminal vesicle, pancreatic centroacinar cells and ducts, and periductal glands of the common bile duct. |
| Dilution | IHC-P=1:100-500,IF=1:100-500,IHC-F=1:100-500 |
| Storage | Store at -20 °C for one year. Avoid repeated freeze/thaw cycles. When reconstituted in sterile pH 7.4 0.01M PBS or diluent of antibody the antibody is stable for at least two weeks at 2-4 °C. |
| Name | MUC6 |
|---|---|
| Function | May provide a mechanism for modulation of the composition of the protective mucus layer related to acid secretion or the presence of bacteria and noxious agents in the lumen. Plays an important role in the cytoprotection of epithelial surfaces and are used as tumor markers in a variety of cancers. May play a role in epithelial organogenesis. |
| Cellular Location | Secreted. |
| Tissue Location | Expressed in the regenerative zone of gastric antrum, gastric body mucosa and gastric incisura mucosa. Expressed in the deeper mucous glands of gastric antrum. Overexpressed in Helicobacter pylori infected gastric epithelium. Highly expressed in duodenal Brunner's glands, gall bladder, seminal vesicle, pancreatic centroacinar cells and ducts, and periductal glands of the common bile duct. |
Research Areas
For Research Use Only. Not For Use In Diagnostic Procedures.
Application Protocols
Provided below are standard protocols that you may find useful for product applications.
BACKGROUND
This gene encodes a member of the mucin protein family. Mucins are high molecular weight glycoproteins produced by many epithelial tissues. The protein encoded by this gene is secreted and forms an insoluble mucous barrier that protects the gut lumen. [provided by RefSeq, Dec 2016]
终于等到您。ABCEPTA(百远生物)抗体产品。
点击下方“我要评价 ”按钮提交您的反馈信息,您的反馈和评价是我们最宝贵的财富之一,
我们将在1-3个工作日内处理您的反馈信息。
如有疑问,联系:0512-88856768 tech-china@abcepta.com.
¥ 1,500.00
Cat# AP94792
















癌症的基本特征包括细胞增殖、血管生成、迁移、凋亡逃避机制和细胞永生等。找到癌症发生过程中这些通路的关键标记物和对应的抗体用于检测至关重要。
为您推荐一个泛素化位点预测神器——泛素化分析工具,可以为您的蛋白的泛素化位点作出预测和评分。
细胞自噬受体图形绘图工具为你的蛋白的细胞受体结合位点作出预测和评分,识别结合到自噬通路中的蛋白是非常重要的,便于让我们理解自噬在正常生理、病理过程中的作用,如发育、细胞分化、神经退化性疾病、压力条件下、感染和癌症。