Recombinant Anti-GLUT1 Rabbit mAb
- 产品详情
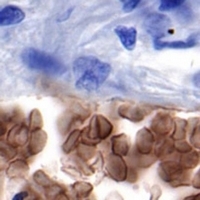
- 实验流程
Application
| WB, IHC |
|---|---|
| Primary Accession | P11166 |
| Reactivity | Human, Mouse, Rat |
| Host | Rabbit |
| Clonality | Monoclonal |
| Calculated MW | 54084 Da |
| Gene ID | 6513 |
|---|---|
| Other Names | GLUT1; Solute carrier family 2, facilitated glucose transporter member 1; Glucose transporter type 1, erythrocyte/brain; GLUT-1; HepG2 glucose transporter |
| Dilution | WB~~1:1000 IHC~~1:100~500 |
| Format | The antibody was purified by immunogen affinity chromatography. iquid in PBS, pH 7.3, 50% glycerol, and 0.05% Proclin300. |
| Storage | Store at -20 °C.Stable for 12 months from date of receipt |
| Name | SLC2A1 (HGNC:11005) |
|---|---|
| Function | Facilitative glucose transporter, which is responsible for constitutive or basal glucose uptake (PubMed:10227690, PubMed:10954735, PubMed:18245775, PubMed:19449892, PubMed:25982116, PubMed:27078104, PubMed:32860739). Has a very broad substrate specificity; can transport a wide range of aldoses including both pentoses and hexoses (PubMed:18245775, PubMed:19449892). Most important energy carrier of the brain: present at the blood-brain barrier and assures the energy- independent, facilitative transport of glucose into the brain (PubMed:10227690). In association with BSG and NXNL1, promotes retinal cone survival by increasing glucose uptake into photoreceptors (By similarity). Required for mesendoderm differentiation (By similarity). |
| Cellular Location | Cell membrane; Multi-pass membrane protein. Melanosome. Photoreceptor inner segment {ECO:0000250|UniProtKB:P17809}. Note=Localizes primarily at the cell surface (PubMed:18245775, PubMed:19449892, PubMed:23219802, PubMed:24847886, PubMed:25982116). Identified by mass spectrometry in melanosome fractions from stage I to stage IV (PubMed:17081065) |
| Tissue Location | Detected in erythrocytes (at protein level). Expressed at variable levels in many human tissues |
For Research Use Only. Not For Use In Diagnostic Procedures.
Application Protocols
Provided below are standard protocols that you may find useful for product applications.
终于等到您。ABCEPTA(百远生物)抗体产品。
点击下方“我要评价 ”按钮提交您的反馈信息,您的反馈和评价是我们最宝贵的财富之一,
我们将在1-3个工作日内处理您的反馈信息。
如有疑问,联系:0512-88856768 tech-china@abcepta.com.
¥ 1,500.00
Cat# AP94847
















癌症的基本特征包括细胞增殖、血管生成、迁移、凋亡逃避机制和细胞永生等。找到癌症发生过程中这些通路的关键标记物和对应的抗体用于检测至关重要。
为您推荐一个泛素化位点预测神器——泛素化分析工具,可以为您的蛋白的泛素化位点作出预测和评分。
细胞自噬受体图形绘图工具为你的蛋白的细胞受体结合位点作出预测和评分,识别结合到自噬通路中的蛋白是非常重要的,便于让我们理解自噬在正常生理、病理过程中的作用,如发育、细胞分化、神经退化性疾病、压力条件下、感染和癌症。