注册 | 登录
点击这里给我发消息
所有产品
  • 所有产品
  • 一抗
  • 裂解液
>   首页   >   产品   >   更多产品   

更多产品 ( 4 )

标注"皇冠"的产品,是满足高质量标准的产品。了解更多...

更多产品

Catalog # AP7635c
ApplicationWB, E
ReactivityH, (M)
AccessionQ15742
50 µl ¥ 1,250.00 询价
100 µl ¥ 2,050.00 询价
200 µl ¥ 2,960.00 询价
400 µl ¥ 4,550.00 询价
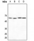
Catalog # AP60035
ApplicationWB, IHC
ReactivityH, M, Rat, B, (M)
AccessionQ15742
50ul ¥ 1,500.00 询价
100 µl ¥ 2,600.00 询价
Catalog # AI11449
ApplicationWB
ReactivityH, Rat, Rb, Pig, D, Hs, B, (H), (Rb), (Pig), (Hs), (B)
AccessionQ15742
100 µg ¥ 3,945.00 询价
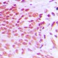
Catalog # AP71158
ApplicationWB, IHC-P
ReactivityH, M, (H), (Rb), (Pig), (Hs), (B)
AccessionQ15742
50 µl ¥ 1,500.00 询价
100 µl ¥ 2,600.00 询价

订购信息

电话:0512-88856768 / 订购:0512-88856768 / 咨询:0512-88856768
邮箱:orders-china@abcepta.com