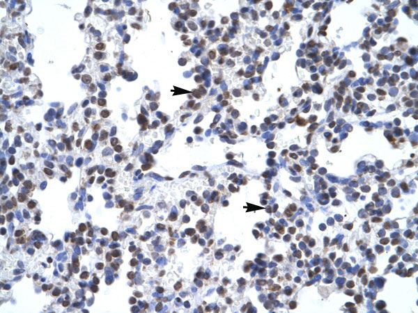
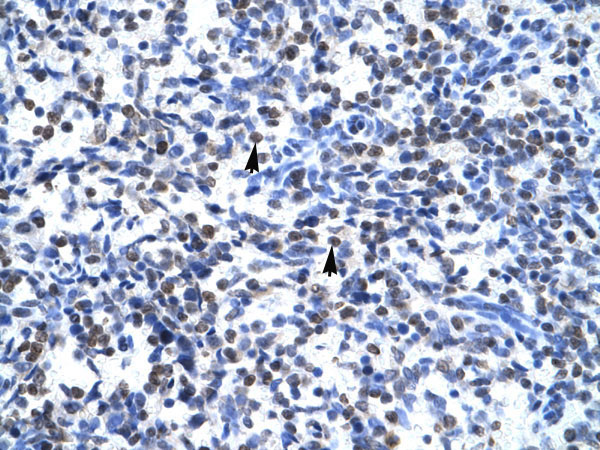
GCM1 antibody - N-terminal region
Rabbit Polyclonal Antibody
- 产品详情
- 实验流程
- 背景知识
Application
| WB, IHC |
|---|---|
| Primary Accession | Q9NP62 |
| Other Accession | NM_003643, NP_003634 |
| Reactivity | Human, Mouse, Rat, Dog |
| Predicted | Human, Mouse, Rat, Dog |
| Host | Rabbit |
| Clonality | Polyclonal |
| Calculated MW | 49268 Da |
| Gene ID | 8521 |
|---|---|
| Alias Symbol | GCMA, hGCMa |
| Other Names | Chorion-specific transcription factor GCMa, hGCMa, GCM motif protein 1, Glial cells missing homolog 1, GCM1, GCMA |
| Format | Liquid. Purified antibody supplied in 1x PBS buffer with 0.09% (w/v) sodium azide and 2% sucrose. |
| Reconstitution & Storage | Add 50 ul of distilled water. Final anti-GCM1 antibody concentration is 1 mg/ml in PBS buffer with 2% sucrose. For longer periods of storage, store at 20°C. Avoid repeat freeze-thaw cycles. |
| Precautions | GCM1 antibody - N-terminal region is for research use only and not for use in diagnostic or therapeutic procedures. |
| Name | GCM1 |
|---|---|
| Synonyms | GCMA |
| Function | Transcription factor involved in the control of expression of placental growth factor (PGF) and other placenta-specific genes (PubMed:10542267, PubMed:18160678). Binds to the trophoblast-specific element 2 (TSE2) of the aromatase gene enhancer (PubMed:10542267). Binds to the SYDE1 promoter (PubMed:27917469). Has a central role in mediating the differentiation of trophoblast cells along both the villous and extravillous pathways in placental development (PubMed:19219068). |
| Cellular Location | Nucleus {ECO:0000255|PROSITE-ProRule:PRU00245}. |
| Tissue Location | Highly expressed in the placenta (PubMed:10542267). Expressed in trophoblast cells of the villi (PubMed:27917469) |
For Research Use Only. Not For Use In Diagnostic Procedures.
Provided below are standard protocols that you may find useful for product applications.
BACKGROUND
Transcription factor that is necessary for placental development. Binds to the trophoblast-specific element 2 (TSE2) of the aromatase gene enhancer.
REFERENCES
Akiyama Y.,et al.Proc. Natl. Acad. Sci. U.S.A. 93:14912-14916(1996).
Nishizawa M.,et al.Submitted (APR-2000) to the EMBL/GenBank/DDBJ databases.
Yamada K.,et al.J. Biol. Chem. 274:32279-32286(1999).
Yamada K.,et al.Biochem. Biophys. Res. Commun. 278:134-139(2000).
Mungall A.J.,et al.Nature 425:805-811(2003).
终于等到您。ABCEPTA(百远生物)抗体产品。
点击下方“我要评价 ”按钮提交您的反馈信息,您的反馈和评价是我们最宝贵的财富之一,
我们将在1-3个工作日内处理您的反馈信息。
如有疑问,联系:0512-88856768 tech-china@abcepta.com.
















癌症的基本特征包括细胞增殖、血管生成、迁移、凋亡逃避机制和细胞永生等。找到癌症发生过程中这些通路的关键标记物和对应的抗体用于检测至关重要。
为您推荐一个泛素化位点预测神器——泛素化分析工具,可以为您的蛋白的泛素化位点作出预测和评分。
细胞自噬受体图形绘图工具为你的蛋白的细胞受体结合位点作出预测和评分,识别结合到自噬通路中的蛋白是非常重要的,便于让我们理解自噬在正常生理、病理过程中的作用,如发育、细胞分化、神经退化性疾病、压力条件下、感染和癌症。