SLC27A5 Antibody
Purified Mouse Monoclonal Antibody
- 产品详情
- 实验流程
Application
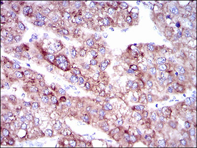
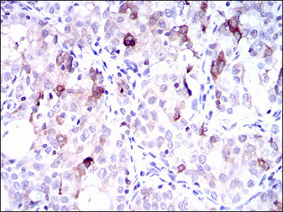
| WB, IHC, E |
|---|---|
| Primary Accession | Q9Y2P5 |
| Reactivity | Human, Mouse |
| Host | Mouse |
| Clonality | Monoclonal |
| Clone Names | 9C4D1 |
| Isotype | IgG1 |
| Calculated MW | 75385 Da |
| Description | The protein encoded by this gene is an isozyme of very long-chain acyl-CoA synthetase (VLCS). It is capable of activating very long-chain fatty-acids containing 24- and 26-carbons. It is expressed in liver and associated with endoplasmic reticulum but not with peroxisomes. Its primary role is in fatty acid elongation or complex lipid synthesis rather than in degradation. This gene has a mouse ortholog. |
| Immunogen | Purified recombinant fragment of human SLC27A5 (AA: 508-570) expressed in E. Coli. |
| Formulation | Purified antibody in PBS with 0.05% sodium azide |
| Gene ID | 10998 |
|---|---|
| Other Names | Bile acyl-CoA synthetase, BACS, 6.2.1.7, Bile acid-CoA ligase, BA-CoA ligase, BAL, Cholate--CoA ligase, Fatty acid transport protein 5, FATP-5, Fatty-acid-coenzyme A ligase, very long-chain 3, Solute carrier family 27 member 5, Very long-chain acyl-CoA synthetase homolog 2, VLCS-H2, VLCSH2, Very long-chain acyl-CoA synthetase-related protein, VLACS-related, VLACSR, SLC27A5, ACSB, ACSVL6, FACVL3, FATP5 |
| Dilution | WB~~1/500 - 1/2000 IHC~~1/200 - 1/1000 E~~1/10000 |
| Storage | Maintain refrigerated at 2-8°C for up to 6 months. For long term storage store at -20°C in small aliquots to prevent freeze-thaw cycles. |
| Precautions | SLC27A5 Antibody is for research use only and not for use in diagnostic or therapeutic procedures. |
| Name | SLC27A5 |
|---|---|
| Synonyms | ACSB, ACSVL6, FACVL3, FATP5 |
| Function | May mediate the import of long-chain fatty acids (LCFA) by facilitating their transport across cell membranes (PubMed:20448275, PubMed:20530735). Also catalyzes the ATP-dependent formation of fatty acyl-CoA using LCFA and very-long-chain fatty acids (VLCFA) as substrates (PubMed:10479480). Mainly functions as a bile acyl-CoA synthetase catalyzing the activation of bile acids via ATP-dependent formation of bile acid CoA thioesters which is necessary for their subsequent conjugation with glycine or taurine (PubMed:10749848, PubMed:11980911). Both primary bile acids (cholic acid and chenodeoxycholic acid) and secondary bile acids (deoxycholic acid and lithocholic acid) are the principal substrates (PubMed:10749848, PubMed:11980911). In vitro, activates 3-alpha,7-alpha,12-alpha- trihydroxy-5-beta-cholestanate ((25R)-3alpha,7alpha,12alpha-trihydroxy- 5beta-cholestan-26-oate or THCA), the C27 precursor of cholic acid deriving from the de novo synthesis from cholesterol (PubMed:11980911). Plays an important role in hepatic fatty acid uptake and bile acid reconjugation and recycling but not in de novo synthesis of bile acids (By similarity). |
| Cellular Location | Endoplasmic reticulum membrane; Multi-pass membrane protein. Microsome {ECO:0000250|UniProtKB:Q9ES38}. Cell membrane {ECO:0000250|UniProtKB:Q4LDG0}; Multi-pass membrane protein |
| Tissue Location | Predominantly expressed in liver. |
Research Areas
For Research Use Only. Not For Use In Diagnostic Procedures.
Application Protocols
Provided below are standard protocols that you may find useful for product applications.
REFERENCES
1.Horm Metab Res. 2010 Nov;42(12):854-9. 2.Mol Nutr Food Res. 2007 Feb;51(2):185-91.
终于等到您。ABCEPTA(百远生物)抗体产品。
点击下方“我要评价 ”按钮提交您的反馈信息,您的反馈和评价是我们最宝贵的财富之一,
我们将在1-3个工作日内处理您的反馈信息。
如有疑问,联系:0512-88856768 tech-china@abcepta.com.
¥ 1,500.00
Cat# AO2265a
















癌症的基本特征包括细胞增殖、血管生成、迁移、凋亡逃避机制和细胞永生等。找到癌症发生过程中这些通路的关键标记物和对应的抗体用于检测至关重要。
为您推荐一个泛素化位点预测神器——泛素化分析工具,可以为您的蛋白的泛素化位点作出预测和评分。
细胞自噬受体图形绘图工具为你的蛋白的细胞受体结合位点作出预测和评分,识别结合到自噬通路中的蛋白是非常重要的,便于让我们理解自噬在正常生理、病理过程中的作用,如发育、细胞分化、神经退化性疾病、压力条件下、感染和癌症。