ATP13A2 Rabbit pAb
ATP13A2 Rabbit pAb
- 产品详情
- 实验流程
- 背景知识
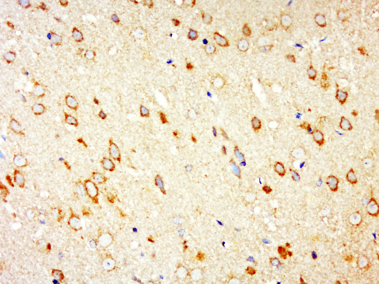
Application
| IHC-P, IHC-F, IF |
|---|---|
| Primary Accession | Q9NQ11 |
| Reactivity | Rat |
| Predicted | Human, Mouse, Pig, Horse, Rabbit |
| Host | Rabbit |
| Clonality | Polyclonal |
| Calculated MW | 128794 Da |
| Physical State | Liquid |
| Immunogen | KLH conjugated synthetic peptide derived from human ATP13A2 |
| Epitope Specificity | 1001-1080/1180 |
| Isotype | IgG |
| Purity | affinity purified by Protein A |
| Buffer | 0.01M TBS (pH7.4) with 1% BSA, 0.02% Proclin300 and 50% Glycerol. |
| SUBCELLULAR LOCATION | Membrane; Multi-pass membrane protein (By similarity). Lysosome. |
| SIMILARITY | Belongs to the cation transport ATPase (P-type) (TC 3.A.3) family. Type V subfamily. |
| DISEASE | Defects in ATP13A2 are the cause of Kufor-Rakeb syndrome (KRS) [MIM:606693]; also known as Parkinson disease type 9 (PARK9). KRS is a rare hereditary disease with juvenile onset. In addition to typical signs of Parkinson disease, affected individuals show symptoms of more widespread neurodegeneration, including dementia. |
| Important Note | This product as supplied is intended for research use only, not for use in human, therapeutic or diagnostic applications. |
| Background Descriptions | ATP13A2 is a 1,180 amino acid multi-pass membrane protein that belongs to the P5 subfamily of ATPases which play an important role in the transportation of inorganic cations. Expressed as multiple alternative spliced isoforms, ATP13A2 functions to catalyze the conversion of ATP to ADP and a free phosphate, thereby participating in the active transport of ions across cellular membranes. Defects in the gene encoding ATP13A2 are the cause of Kufor-Rakeb syndrome (KRS), a rare hereditary type of Parkinson’s disease that exhibits juvenile onset and is characterized by neurodegeneration and dementia. The ATP13A2 gene maps to human chromosome 1, which spans 260 million base pairs, contains over 3,000 genes and comprises nearly 8% of the human genome. |
| Gene ID | 23400 |
|---|---|
| Other Names | Polyamine-transporting ATPase 13A2, 7.6.2.-, ATP13A2 (HGNC:30213) |
| Target/Specificity | Expressed in brain; protein levels are markedly increased in brain from subjects with Parkinson disease and subjects with dementia with Lewy bodies. Detected in pyramidal neurons located throughout the cingulate cortex (at protein level). In the substantia nigra, it is found in neuromelanin-positive dopaminergic neurons (at protein level). |
| Dilution | IHC-P=1:100-500,IHC-F=1:100-500,IF=1:100-500 |
| Storage | Store at -20 °C for one year. Avoid repeated freeze/thaw cycles. When reconstituted in sterile pH 7.4 0.01M PBS or diluent of antibody the antibody is stable for at least two weeks at 2-4 °C. |
| Name | ATP13A2 (HGNC:30213) |
|---|---|
| Function | ATPase which acts as a lysosomal polyamine exporter with high affinity for spermine (PubMed:31996848). Also stimulates cellular uptake of polyamines and protects against polyamine toxicity (PubMed:31996848). Plays a role in intracellular cation homeostasis and the maintenance of neuronal integrity (PubMed:22186024). Contributes to cellular zinc homeostasis (PubMed:24603074). Confers cellular protection against Mn(2+) and Zn(2+) toxicity and mitochondrial stress (PubMed:26134396). Required for proper lysosomal and mitochondrial maintenance (PubMed:22296644, PubMed:28137957). Regulates the autophagy-lysosome pathway through the control of SYT11 expression at both transcriptional and post-translational levels (PubMed:27278822). Facilitates recruitment of deacetylase HDAC6 to lysosomes to deacetylate CTTN, leading to actin polymerization, promotion of autophagosome-lysosome fusion and completion of autophagy (PubMed:30538141). Promotes secretion of exosomes as well as secretion of SCNA via exosomes (PubMed:24603074, PubMed:25392495). Plays a role in lipid homeostasis (PubMed:31132336). |
| Cellular Location | Lysosome membrane; Multi-pass membrane protein. Late endosome membrane; Multi-pass membrane protein. Endosome, multivesicular body membrane; Multi-pass membrane protein. Cytoplasmic vesicle, autophagosome membrane; Multi-pass membrane protein |
| Tissue Location | Expressed in brain; protein levels are markedly increased in brain from subjects with Parkinson disease and subjects with dementia with Lewy bodies. Detected in pyramidal neurons located throughout the cingulate cortex (at protein level). In the substantia nigra, it is found in neuromelanin-positive dopaminergic neurons (at protein level). |
For Research Use Only. Not For Use In Diagnostic Procedures.
Provided below are standard protocols that you may find useful for product applications.
BACKGROUND
ATP13A2 is a 1,180 amino acid multi-pass membrane protein that belongs to the P5 subfamily of ATPases which play an important role in the transportation of inorganic cations. Expressed as multiple alternative spliced isoforms, ATP13A2 functions to catalyze the conversion of ATP to ADP and a free phosphate, thereby participating in the active transport of ions across cellular membranes. Defects in the gene encoding ATP13A2 are the cause of Kufor-Rakeb syndrome (KRS), a rare hereditary type of Parkinson’s disease that exhibits juvenile onset and is characterized by neurodegeneration and dementia. The ATP13A2 gene maps to human chromosome 1, which spans 260 million base pairs, contains over 3,000 genes and comprises nearly 8% of the human genome.
终于等到您。ABCEPTA(百远生物)抗体产品。
点击下方“我要评价 ”按钮提交您的反馈信息,您的反馈和评价是我们最宝贵的财富之一,
我们将在1-3个工作日内处理您的反馈信息。
如有疑问,联系:0512-88856768 tech-china@abcepta.com.
















癌症的基本特征包括细胞增殖、血管生成、迁移、凋亡逃避机制和细胞永生等。找到癌症发生过程中这些通路的关键标记物和对应的抗体用于检测至关重要。
为您推荐一个泛素化位点预测神器——泛素化分析工具,可以为您的蛋白的泛素化位点作出预测和评分。
细胞自噬受体图形绘图工具为你的蛋白的细胞受体结合位点作出预测和评分,识别结合到自噬通路中的蛋白是非常重要的,便于让我们理解自噬在正常生理、病理过程中的作用,如发育、细胞分化、神经退化性疾病、压力条件下、感染和癌症。