ABCB6 Rabbit pAb
ABCB6 Rabbit pAb
- 产品详情
- 实验流程
- 背景知识
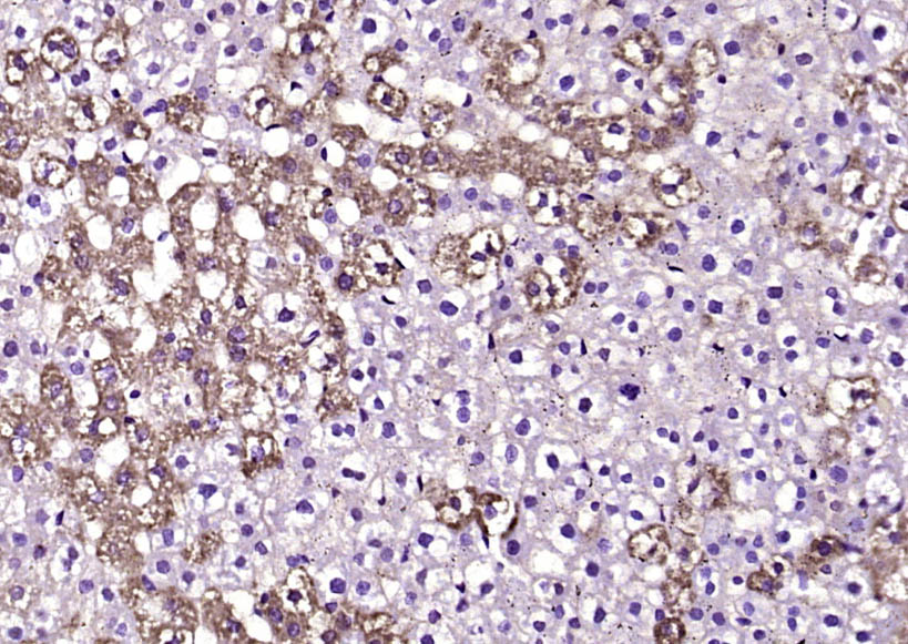
Application
| IHC-P, IHC-F, IF |
|---|---|
| Primary Accession | Q9NP58 |
| Reactivity | Rat |
| Predicted | Human, Mouse, Dog, Pig, Horse, Guinea Pig |
| Host | Rabbit |
| Clonality | Polyclonal |
| Calculated MW | 93886 Da |
| Physical State | Liquid |
| Immunogen | KLH conjugated synthetic peptide derived from human ABCB6 |
| Epitope Specificity | 401-520/842 |
| Isotype | IgG |
| Purity | affinity purified by Protein A |
| Buffer | 0.01M TBS (pH7.4) with 1% BSA, 0.02% Proclin300 and 50% Glycerol. |
| SUBCELLULAR LOCATION | Cell membrane. Mitochondrion outer membrane; Multi-pass membrane protein. Endoplasmic reticulum. Golgi apparatus. |
| SIMILARITY | Belongs to the ABC transporter superfamily. ABCB family. Heavy Metal importer (TC 3.A.1.210) subfamily.Contains 1 ABC transmembrane type-1 domain.Contains 1 ABC transporter domain. |
| SUBUNIT | Homodimer. |
| DISEASE | Microphthalmia, isolated, with coloboma, 7 (MCOPCB7) [MIM:614497]: A disorder of eye formation, ranging from small size of a single eye to complete bilateral absence of ocular tissues. Ocular abnormalities like opacities of the cornea and lens, scaring of the retina and choroid, cataract and other abnormalities like cataract may also be present. Ocular colobomas are a set of malformations resulting from abnormal morphogenesis of the optic cup and stalk, and the fusion of the fetal fissure (optic fissure). Note=The disease is caused by mutations affecting the gene represented in this entry. |
| Important Note | This product as supplied is intended for research use only, not for use in human, therapeutic or diagnostic applications. |
| Background Descriptions | The membrane-associated protein encoded by this gene is a member of the superfamily of ATP-binding cassette (ABC) transporters. ABC proteins transport various molecules across extra- and intra-cellular membranes. ABC genes are divided into seven distinct subfamilies (ABC1, MDR/TAP, MRP, ALD, OABP, GCN20, White). This protein is a member of the MDR/TAP subfamily. Members of the MDR/TAP subfamily are involved in multidrug resistance as well as antigen presentation. This half-transporter likely plays a role in mitochondrial function. Localized to 2q26, this gene is considered a candidate gene for lethal neonatal metabolic syndrome, a disorder of mitochondrial function. |
| Gene ID | 10058 |
|---|---|
| Other Names | ATP-binding cassette sub-family B member 6, ABC-type heme transporter ABCB6, 7.6.2.5, Mitochondrial ABC transporter 3, Mt-ABC transporter 3, P-glycoprotein-related protein, Ubiquitously-expressed mammalian ABC half transporter, ABCB6 (HGNC:47) |
| Target/Specificity | Widely expressed. High expression is detected in the retinal epithelium. |
| Dilution | IHC-P=1:100-500,IHC-F=1:100-500,IF=1:100-500 |
| Storage | Store at -20 °C for one year. Avoid repeated freeze/thaw cycles. When reconstituted in sterile pH 7.4 0.01M PBS or diluent of antibody the antibody is stable for at least two weeks at 2-4 °C. |
| Name | ABCB6 (HGNC:47) |
|---|---|
| Function | ATP-dependent transporter that catalyzes the transport of a broad-spectrum of porphyrins from the cytoplasm to the extracellular space through the plasma membrane or into the vesicle lumen (PubMed:17661442, PubMed:23792964, PubMed:27507172, PubMed:33007128). May also function as an ATP-dependent importer of porphyrins from the cytoplasm into the mitochondria, in turn may participate in the de novo heme biosynthesis regulation and in the coordination of heme and iron homeostasis during phenylhydrazine stress (PubMed:10837493, PubMed:17006453, PubMed:23792964, PubMed:33007128). May also play a key role in the early steps of melanogenesis producing PMEL amyloid fibrils (PubMed:29940187). In vitro, it confers to cells a resistance to toxic metal such as arsenic and cadmium and against chemotherapeutics agent such as 5-fluorouracil, SN-38 and vincristin (PubMed:21266531, PubMed:25202056, PubMed:31053883). In addition may play a role in the transition metal homeostasis (By similarity). |
| Cellular Location | Cell membrane; Multi-pass membrane protein. Mitochondrion outer membrane; Multi-pass membrane protein. Endoplasmic reticulum membrane; Multi-pass membrane protein. Golgi apparatus membrane; Multi-pass membrane protein. Endosome membrane; Multi-pass membrane protein. Lysosome membrane. Late endosome membrane {ECO:0000250|UniProtKB:O70595}. Early endosome membrane {ECO:0000250|UniProtKB:O70595}. Secreted, extracellular exosome. Mitochondrion. Endosome, multivesicular body membrane. Melanosome membrane. Note=Present in the membrane of mature erythrocytes and in exosomes released from reticulocytes during the final steps of erythroid maturation (PubMed:22655043). Traffics from endoplasmic reticulum to Golgi during its glycans's maturation, therefrom is first targeted to the plasma membrane, and is rapidly internalized through endocytosis to be distributed to the limiting membrane of multivesicular bodies and lysosomes (PubMed:18279659, PubMed:21199866, PubMed:25627919). Localized on the limiting membrane of early melanosomes of pigment cells (PubMed:29940187). Targeted to the endolysosomal compartment (By similarity) {ECO:0000250|UniProtKB:O70595, ECO:0000269|PubMed:18279659, ECO:0000269|PubMed:21199866, ECO:0000269|PubMed:22655043, ECO:0000269|PubMed:25627919, ECO:0000269|PubMed:29940187} |
| Tissue Location | Widely expressed. High expression is detected in the retinal epithelium (PubMed:10837493, PubMed:22226084). Expressed in mature erythrocytes (PubMed:22655043). |
For Research Use Only. Not For Use In Diagnostic Procedures.
Provided below are standard protocols that you may find useful for product applications.
BACKGROUND
The membrane-associated protein encoded by this gene is a member of the superfamily of ATP-binding cassette (ABC) transporters. ABC proteins transport various molecules across extra- and intra-cellular membranes. ABC genes are divided into seven distinct subfamilies (ABC1, MDR/TAP, MRP, ALD, OABP, GCN20, White). This protein is a member of the MDR/TAP subfamily. Members of the MDR/TAP subfamily are involved in multidrug resistance as well as antigen presentation. This half-transporter likely plays a role in mitochondrial function. Localized to 2q26, this gene is considered a candidate gene for lethal neonatal metabolic syndrome, a disorder of mitochondrial function.
终于等到您。ABCEPTA(百远生物)抗体产品。
点击下方“我要评价 ”按钮提交您的反馈信息,您的反馈和评价是我们最宝贵的财富之一,
我们将在1-3个工作日内处理您的反馈信息。
如有疑问,联系:0512-88856768 tech-china@abcepta.com.
















癌症的基本特征包括细胞增殖、血管生成、迁移、凋亡逃避机制和细胞永生等。找到癌症发生过程中这些通路的关键标记物和对应的抗体用于检测至关重要。
为您推荐一个泛素化位点预测神器——泛素化分析工具,可以为您的蛋白的泛素化位点作出预测和评分。
细胞自噬受体图形绘图工具为你的蛋白的细胞受体结合位点作出预测和评分,识别结合到自噬通路中的蛋白是非常重要的,便于让我们理解自噬在正常生理、病理过程中的作用,如发育、细胞分化、神经退化性疾病、压力条件下、感染和癌症。