IREB2 Rabbit pAb
IREB2 Rabbit pAb
- 产品详情
- 实验流程
- 背景知识
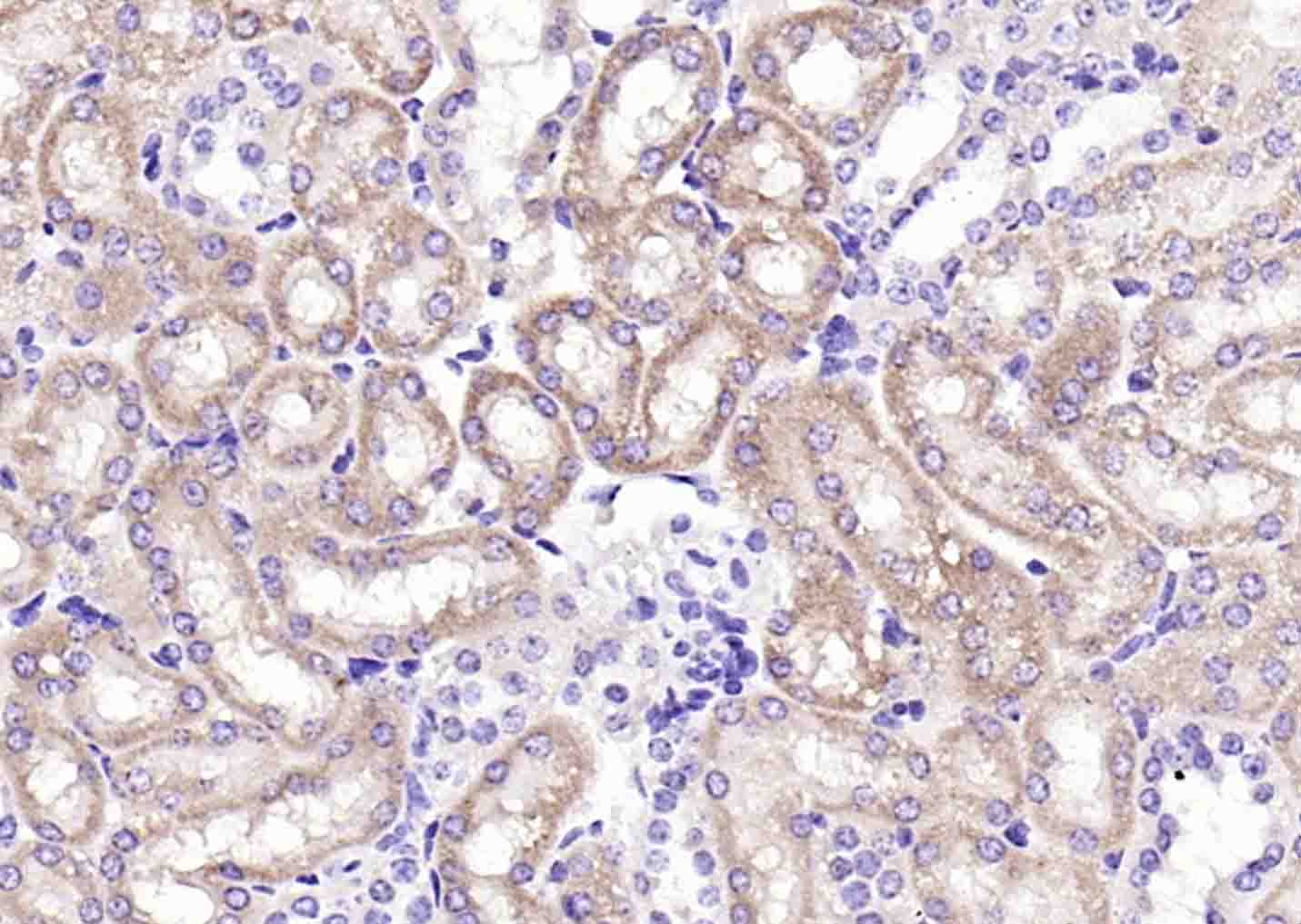
Application
| IHC-P, IHC-F, IF |
|---|---|
| Primary Accession | P48200 |
| Reactivity | Human, Chicken, Dog |
| Host | Rabbit |
| Clonality | Polyclonal |
| Calculated MW | 105059 Da |
| Physical State | Liquid |
| Immunogen | KLH conjugated synthetic peptide derived from human IREB2 |
| Epitope Specificity | 101-200/963 |
| Isotype | IgG |
| Purity | affinity purified by Protein A |
| Buffer | 0.01M TBS (pH7.4) with 1% BSA, 0.02% Proclin300 and 50% Glycerol. |
| SUBCELLULAR LOCATION | Cytoplasm. |
| SIMILARITY | Belongs to the aconitase/IPM isomerase family. |
| Post-translational modifications | Ubiquitinated and degraded by the proteasome in presence of high level of iron and oxygen. Ubiquitinated by a SCF complex containing FBXL5. Upon iron and oxygen depletion FBXL5 is degraded, preventing ubiquitination and allowing its RNA-binding activity. |
| Important Note | This product as supplied is intended for research use only, not for use in human, therapeutic or diagnostic applications. |
| Background Descriptions | Iron metabolism is essential for sustaining mammalian homeostasis. Iron uptake and distribution is a highly regulated process in mammalian cells that is monitored by two iron sensing proteins: IRP-1 and -2 (iron regulatory protein-1 and -2), also known as iron responsive element-binding protein-1 and -2 (IRE-BP-1 and -2) or aconitase 1 and 2. IRP-1 and IRP-2 are important soluble regulatory factors that mediate iron uptake and storage in mammalian cells. They are capable of either repressing translation or enhancing mRNA stability by associating with stem-loop motifs known as iron-responsive elements (IREs). IRPs respond to stress mediators, iron concentration and signaling factors, including nitrogen monoxide, cytokines and hydrogen peroxide. |
| Gene ID | 3658 |
|---|---|
| Other Names | Iron-responsive element-binding protein 2, IRE-BP 2, Iron regulatory protein 2, IRP2, IREB2 |
| Dilution | IHC-P=1:100-500,IHC-F=1:100-500,IF=1:100-500 |
| Storage | Store at -20 °C for one year. Avoid repeated freeze/thaw cycles. When reconstituted in sterile pH 7.4 0.01M PBS or diluent of antibody the antibody is stable for at least two weeks at 2-4 °C. |
| Name | IREB2 |
|---|---|
| Function | RNA-binding protein that binds to iron-responsive elements (IRES), which are stem-loop structures found in the 5'-UTR of ferritin, and delta aminolevulinic acid synthase mRNAs, and in the 3'-UTR of transferrin receptor mRNA. Binding to the IRE element in ferritin results in the repression of its mRNA translation. Binding of the protein to the transferrin receptor mRNA inhibits the degradation of this otherwise rapidly degraded mRNA. |
| Cellular Location | Cytoplasm. |
For Research Use Only. Not For Use In Diagnostic Procedures.
Provided below are standard protocols that you may find useful for product applications.
BACKGROUND
Iron metabolism is essential for sustaining mammalian homeostasis. Iron uptake and distribution is a highly regulated process in mammalian cells that is monitored by two iron sensing proteins: IRP-1 and -2 (iron regulatory protein-1 and -2), also known as iron responsive element-binding protein-1 and -2 (IRE-BP-1 and -2) or aconitase 1 and 2. IRP-1 and IRP-2 are important soluble regulatory factors that mediate iron uptake and storage in mammalian cells. They are capable of either repressing translation or enhancing mRNA stability by associating with stem-loop motifs known as iron-responsive elements (IREs). IRPs respond to stress mediators, iron concentration and signaling factors, including nitrogen monoxide, cytokines and hydrogen peroxide.
终于等到您。ABCEPTA(百远生物)抗体产品。
点击下方“我要评价 ”按钮提交您的反馈信息,您的反馈和评价是我们最宝贵的财富之一,
我们将在1-3个工作日内处理您的反馈信息。
如有疑问,联系:0512-88856768 tech-china@abcepta.com.
















癌症的基本特征包括细胞增殖、血管生成、迁移、凋亡逃避机制和细胞永生等。找到癌症发生过程中这些通路的关键标记物和对应的抗体用于检测至关重要。
为您推荐一个泛素化位点预测神器——泛素化分析工具,可以为您的蛋白的泛素化位点作出预测和评分。
细胞自噬受体图形绘图工具为你的蛋白的细胞受体结合位点作出预测和评分,识别结合到自噬通路中的蛋白是非常重要的,便于让我们理解自噬在正常生理、病理过程中的作用,如发育、细胞分化、神经退化性疾病、压力条件下、感染和癌症。